Enhorabuena a David Laguna Macarrilla, residente de 3º año del Hospital Universitario Son Espases, por ser el autor de nuestro CASO DEL MES edición especial: alteraciones moleculares inesperadas en tumores sólidos.
DESCRIPCIÓN DEL CASO:
Varón de 39 años con tumoración subcutánea en brazo derecho resecado en consulta privada e informado de melanoma maligno nodular dérmico con ausencia de componente de unión, por lo que se recomendó descartar un posible primario en otra localización y comprobar historia clínica para descartar exéresis previas. Además, se remitió el caso a un centro de referencia para confirmación histológica.
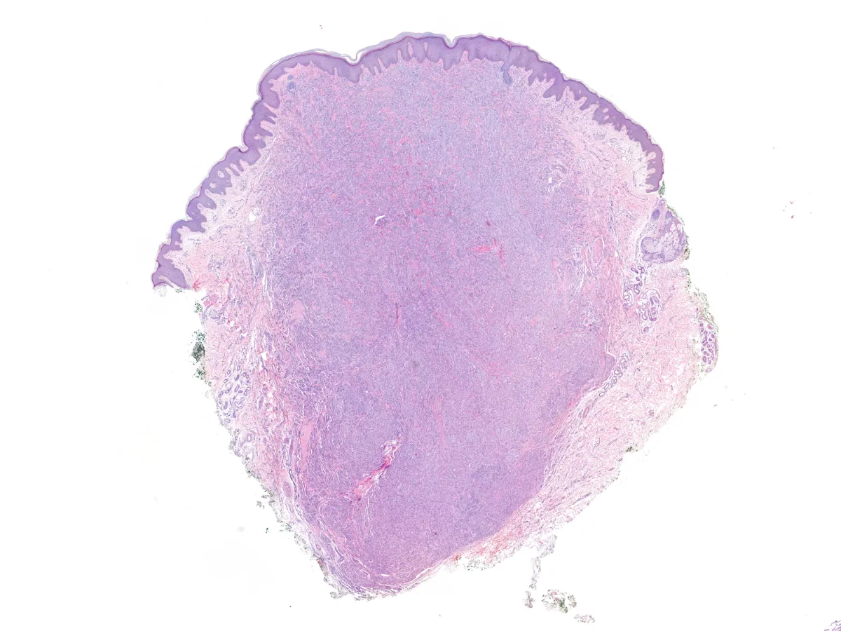
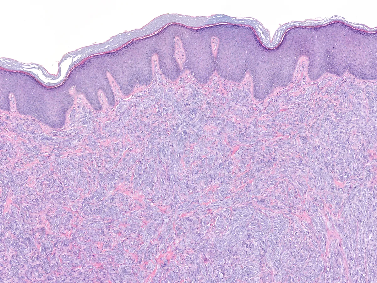
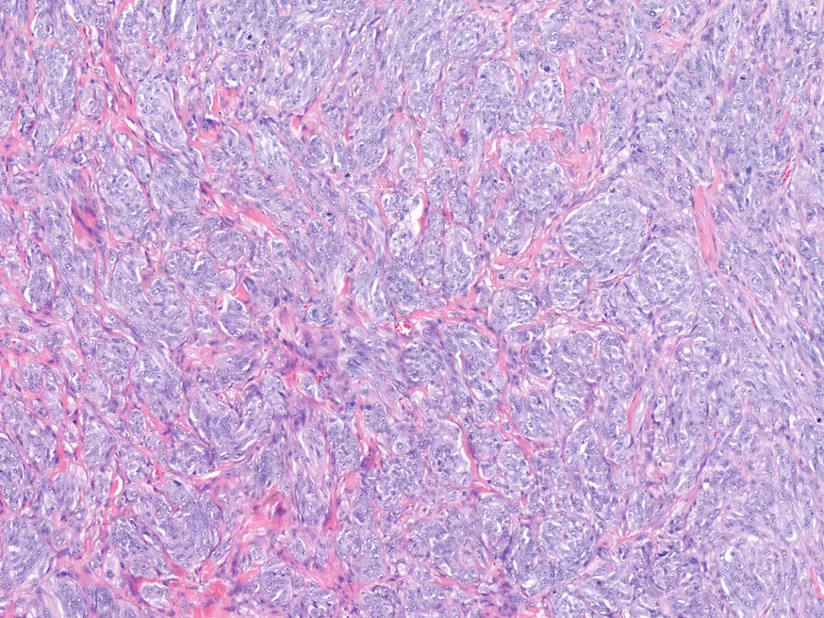
Los cortes histológicos muestran una tumoración dérmica bien delimitada, no encapsulada, que ocupa todo el espesor de la dermis reticular, constituida por células con cierto pleomorfismo, núcleos vesiculosos con nucleolo prominente y citoplasma anfófilo que se agrupan formando pequeños nidos bien delimitados y separados por finos tractos de colágeno. El índice mitótico es elevado (4 mitosis por mm2).
Con sospecha de una alteración molecular específica en este tipo de neoplasia, se realizó secuenciación mediante NGS con panel TSO-500 y TruSight RNA Pan-Cancer de Illumina y posteriormente se confirmó dicha alteración por FISH en otro centro.
Imágenes:

1. HE 2x

2. HE 10x

3. HE 20x

4. HE 40x

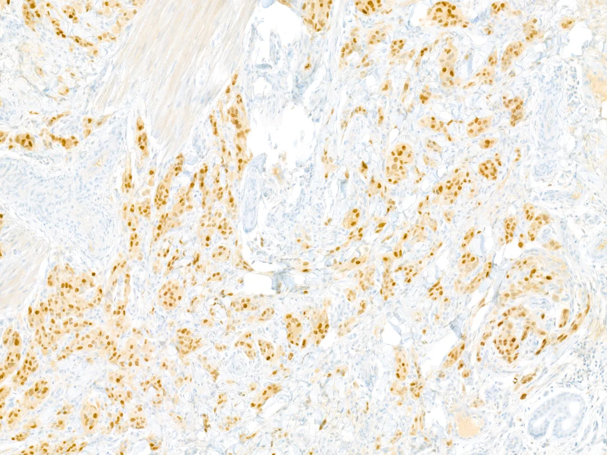
5. HMB45 40x

6. Ki67-MART1 40x

7. PRAME 40x

8. MITF 20x

9. SOX10 20x

10. S100 20x
¿Cuál es tu diagnóstico?
El diagnóstico y los aspectos esenciales de esta entidad se encuentran a continuación…
Diagnóstico: Tumor melanocítico dérmico con fusión CRTC1::TRIM11
Aspectos esenciales:
- El tumor cutáneo con fusión CRTC1::TRIM11 puede presentarse en una amplia distribución anatómica, siendo la localización más frecuente en extremidades (superior 40%, inferior 30%), seguido del tronco (15%) y cabeza y cuello. PMID: 35993578; PMID: 29240581.
- Se presentan como una lesión nodular discreta, de crecimiento lento y con ligera pigmentación cutánea. Puede provocar un dolor leve. PMID: 35993578; PMID: 31237704
- Se han reportado en torno a 50 casos en la literatura con un abanico epidemiológico amplio (desde 11 a 87 años, con una media de edad de 44 años). PMID: 35993578; PMID: 29240581; PMID: 31237704; PMID: 30676334.
- La morfología es uniforme, con gran semejanza al sarcoma de células claras. Se tratan de tumores nodulares dérmicos bien circunscritos, no encapsulados y sin pigmento. Pueden apoyarse en la epidermis, aunque raramente la afectan. Las células se disponen en nidos y fascículos cortos y largos que se entrecruzan, así como bandas fibrosas delgadas entre estos haces. Las células son fusiformes con un amplio citoplasma de pálido a anfófilo, cromatina vesiculosa y nucleolo prominente. Pueden tener mitosis típicas. PMID: 35993578.
- Todos los tumores expresan SOX10. En un 50% de los casos expresan S100 con patrón difuso. Melan-A/MART-1 y HMB-45 se expresan focalmente. La inmunohistoquímica para TRIM11 es típicamente positiva nuclear en la periferia del tumor. Pueden expresan Pan-TRK (57% citoplasmático difuso, 36% citoplasmático parcheado), a pesar de no tener mutaciones de TRK. PMID: 35993578; PMID: 29240581.
- Si bien no se ha conseguido demostrar la función molecular precisa de la proteína de fusión CRTC1::TRIM11, se cree que el coactivador de transcripción regulado por CREB1 (CRTC1, 19p) mejora la proliferación celular, la diferenciación y la expresión del oncogén MITF a través de la activación del factor de transcripción de unión al elemento de respuesta a AMPc (CREB1). PMID: 14536081; PMID: 14506290; PMID: 28263292.
- Entre los diagnósticos diferenciales se incluyen el sarcoma de células claras (fusión en EWSR1), el melanoma dérmico o metastásico y el tumor melanocítico dérmico “paraganglioma-like”. PMID: 35993578; PMID: 15577676.
- Actualmente están surgiendo nuevos tumores dérmicos con diferenciación melanocítica guiados por fusiones específicas, tales como el tumor ACTIN::MITF, el tumor MITF::CREM, o el tumor MED15::ATF1. Pese a que el tiempo de seguimiento es limitado, parece que estos tumores tienen generalmente un comportamiento indolente a excepción del tumor MED15::ATF1 (los escasos casos reportados describen una mayor tasa de recurrencia y metástasis). En cualquier caso, la realización de técnicas adicionales moleculares es indispensable para una distinción fiable. PMID: 39264472; PMID: 38278485
- Pese a que el seguimiento de estas lesiones es limitado, el tumor cutáneo con fusión CRTC1::TRIM11 tiene un comportamiento con frecuencia indolente, si bien se han descrito raras recurrencias y metástasis tras la exéresis completa (?10%). PMID: 30676334; PMID: 36177516.

