Enhorabuena a Alexandre Rey López, residente de segundo año del Hospital Clínic de Barcelona, por ser el autor de nuestro CASO DEL MES de AGOSTO 2025.
DESCRIPCIÓN DEL CASO:
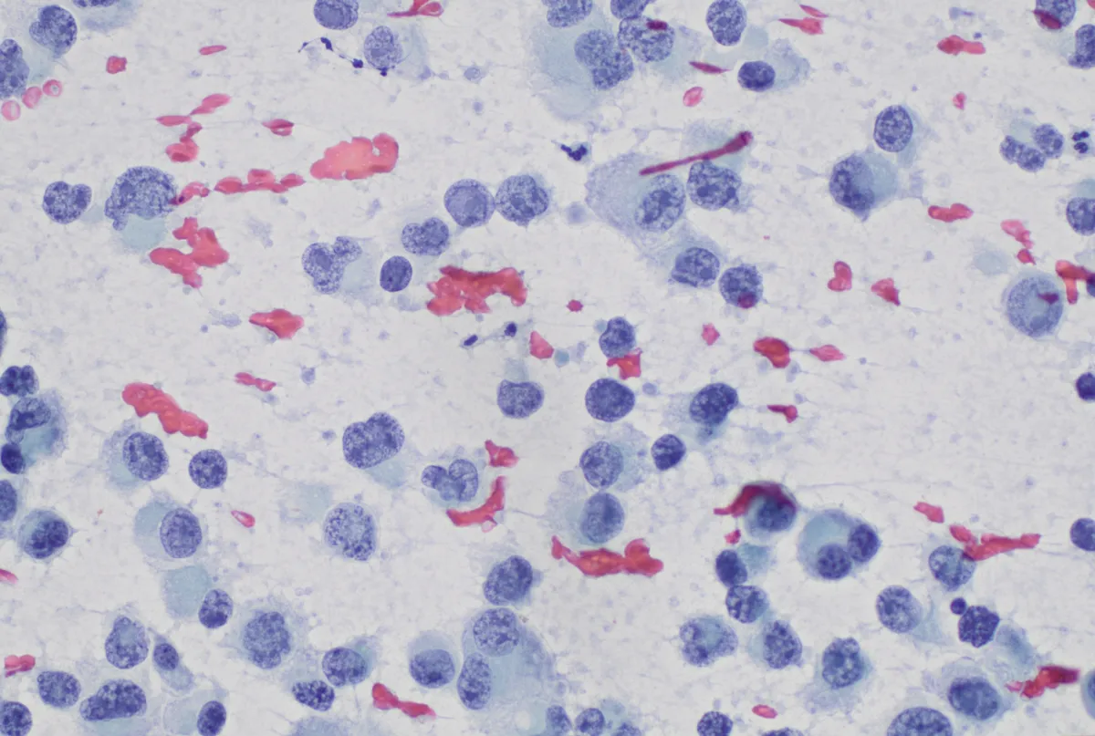
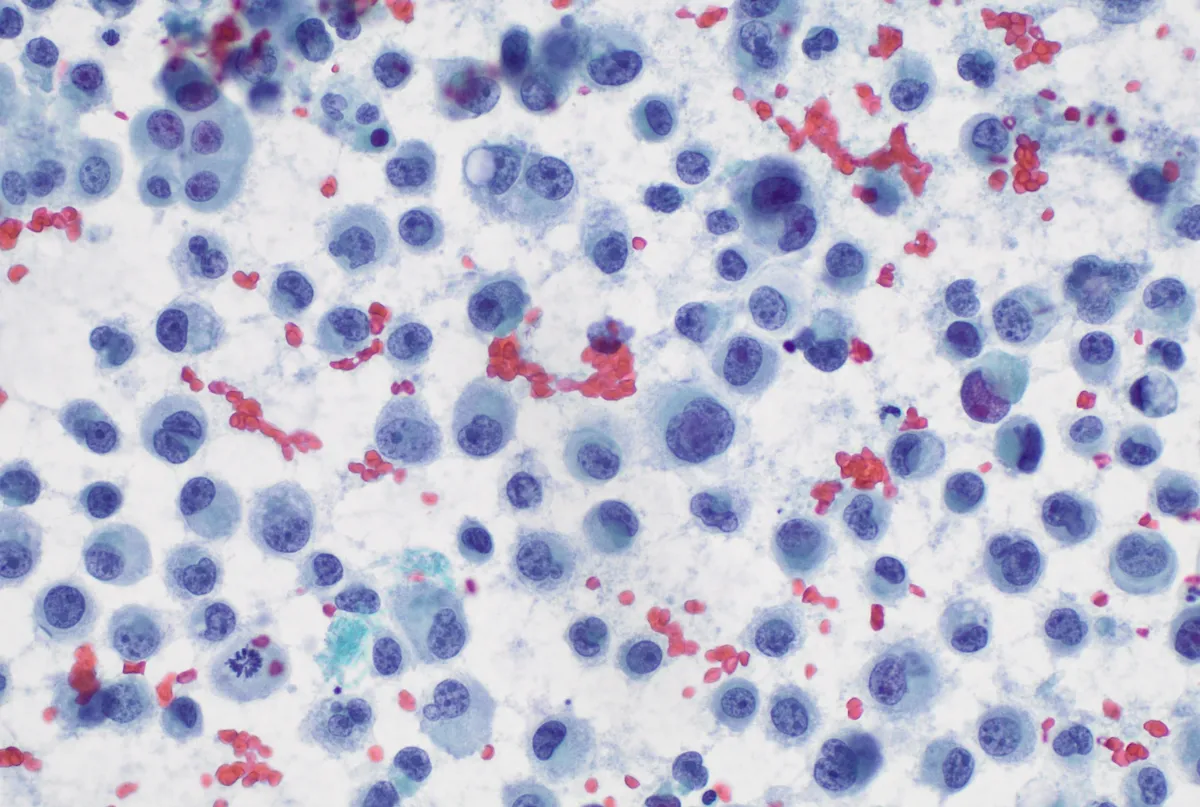
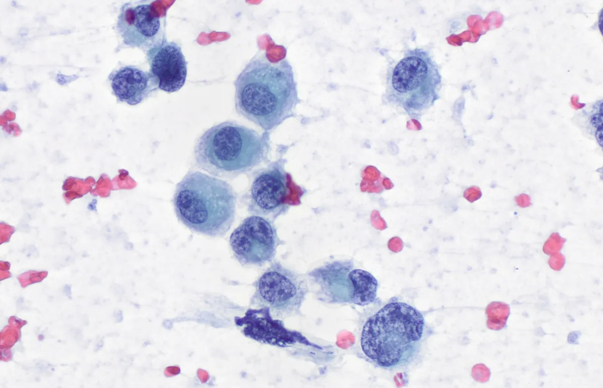
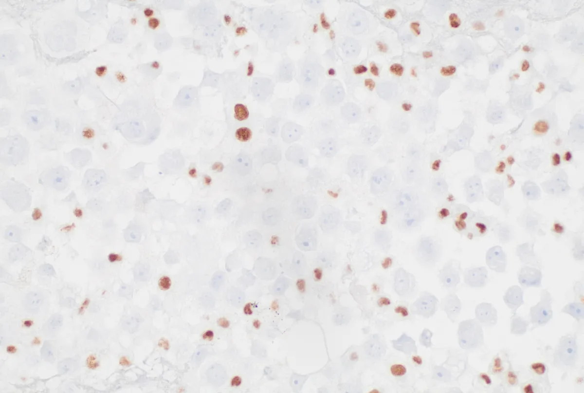
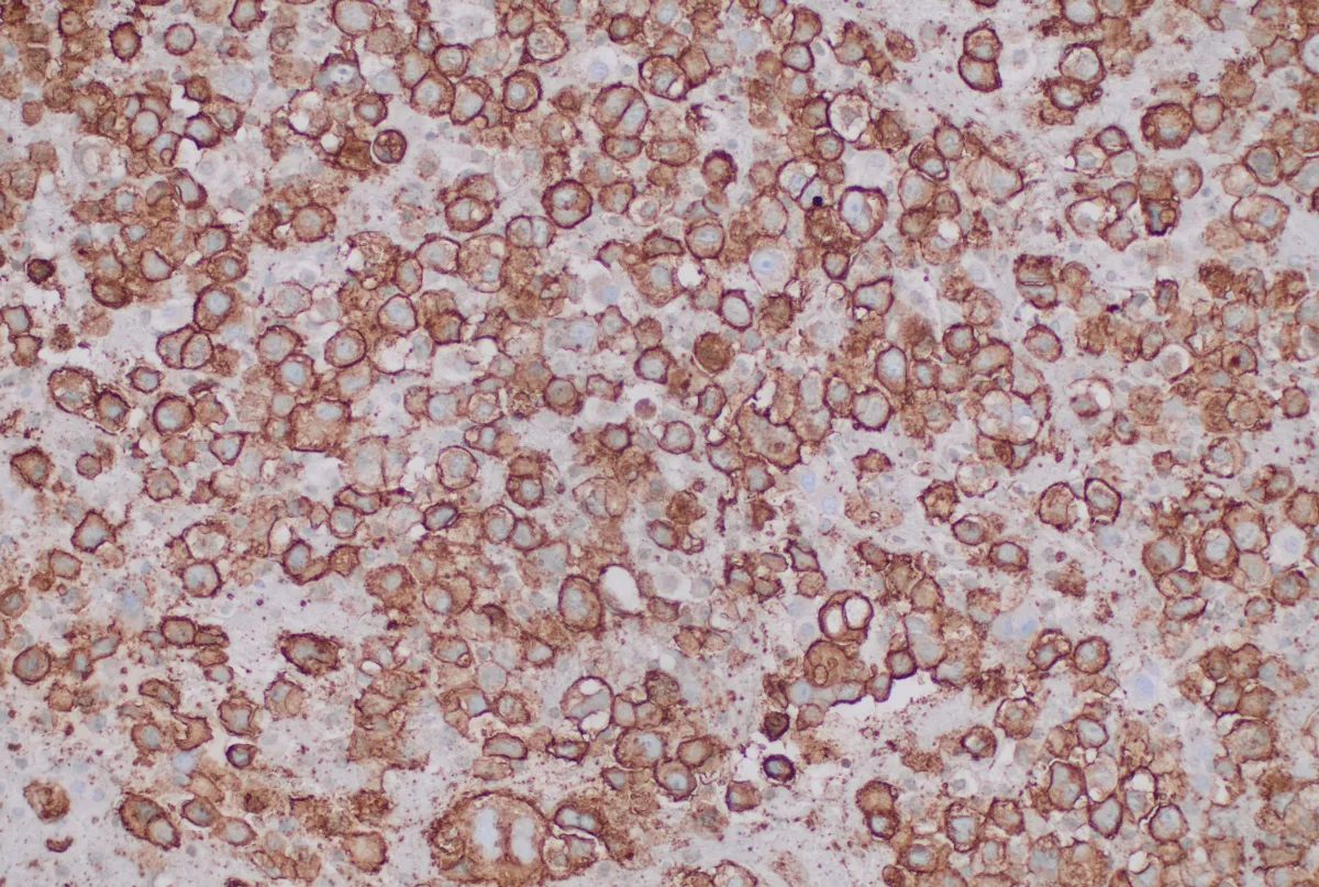
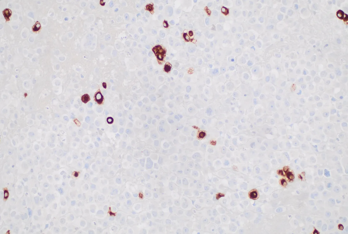
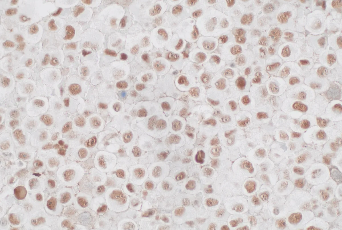
Varón de 67 años, exfumador, que presenta disnea y astenia, por lo que se realiza una tomografía computerizada (TC). Se detecta una masa pulmonar subpleural de 23 mm, hipermetabólica en el PET, acompañada de derrame pleural y lesiones sugestivas de metástasis ganglionares y a distancia. Se realiza una citología del líquido pleural en la que se observa unas extensiones hipercelulares de células sueltas pleomórficas de morfología rabdoide, con núcleo excéntrico y nucleolos marcados. Las técnicas inmunocitoquímicas (ICQ) que resultaron positivas son el CD34 y EMA, de forma aislada, con negatividad para marcadores epiteliales, neuroendocrinos y melanocíticos, entre otros. Se demostró pérdida de expresión nuclear de SMARCA4 (BRG1) y SMARCA2 (BRM), con retención nuclear de SMARCB1 (INI1). Se confirmó la deleción de SMARCA4 por secuenciación masiva. Aunque la biopsia es considerada el gold-standard para el diagnóstico de esta entidad, la citología resultó ser válida en este caso.
Imágenes:

1-Papanicolaou 1.cito

2-Papanicolaou 2.cito

3-Papanicolaou 3.cito

4-SMARCA4.cito

5-CD34.cito

6-CKAE1AE3.cito

7-SMARCB1.cito

8-TC
¿Cuál es tu diagnóstico?
El diagnóstico y los aspectos esenciales de esta entidad se encuentran a continuación…
Diagnóstico: Tumor torácico indiferenciado con déficit de SMARCA4.
Aspectos esenciales:
- Masa de localización torácica que afecta principalmente a varones, adultos y fuertemente fumadores. Suele ser de gran tamaño y se presenta en estadio avanzado [PMID 31751681]
- Lesión sólida de células discohesivas y monomorfas de morfología ovoide, rabdoide o pleomórfica con núcleos de cromatina laxa y nucleolos evidentes. [PMID: 40406754]
- Patrón ICQ inespecífico con positividad de CD34, pérdida nuclear de SMARCA4 y SMARCA2, y retención nuclear de SMARCB1. [PMID: 40421964]
- Neoplasia maligna indiferenciada de pronóstico nefasto, con una mediana de supervivencia de 4 a 7 meses.
- Importante realizar una caracterización molecular para desarrollar posibles terapias dirigidas. [PMID: 40421964]

