Enhorabuena a Yassin El Bouzaydy El Gueddaris, residente de primer año del Hospital Clínico Universitario de Valencia, por ser el autor de nuestro CASO DEL MES DE DICIEMBRE DEL 2025
DESCRIPCIÓN DEL CASO:
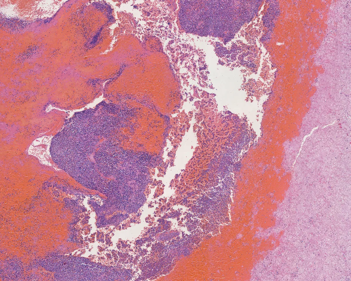
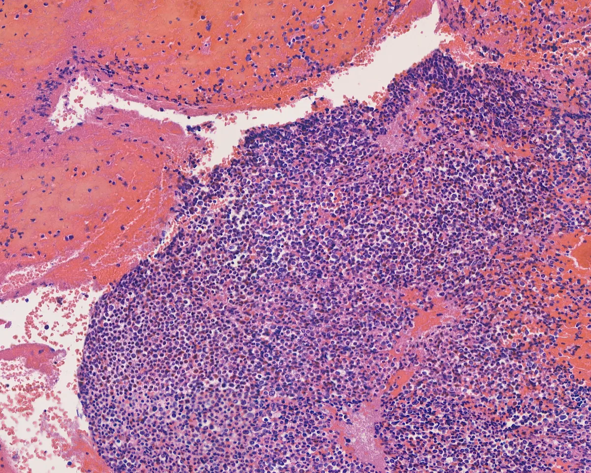
Varón de 70 años que acude a urgencias por empeoramiento en los últimos 3 días asociado a desorientación, dificultad para hablar y pérdida de fuerza de hemicuerpo derecho. Se realiza TAC cerebral que destaca colección extraaxial parietal posterior izquierda, con espesor de hasta 37 mm, y asociado un pequeño foco hemorrágico intraparenquimatoso de 6 mm en parénquima parietooccipital adyacente con leve edema perilesional asociado. Se decide intervención quirúrgica urgente en la que se identifica importante colección subdural asociada a LOE (lesión ocupante de espacio) extraaxial compatible con posible meningioma con hematoma organizado alrededor de la lesión. Se diseca la lesión y se envía a Anatomía Patológica.
Imágenes:

Hematoxilina-eosina 1

Hematoxilina-eosina 2

Hematoxilina-eosina 3

CD20

CD3

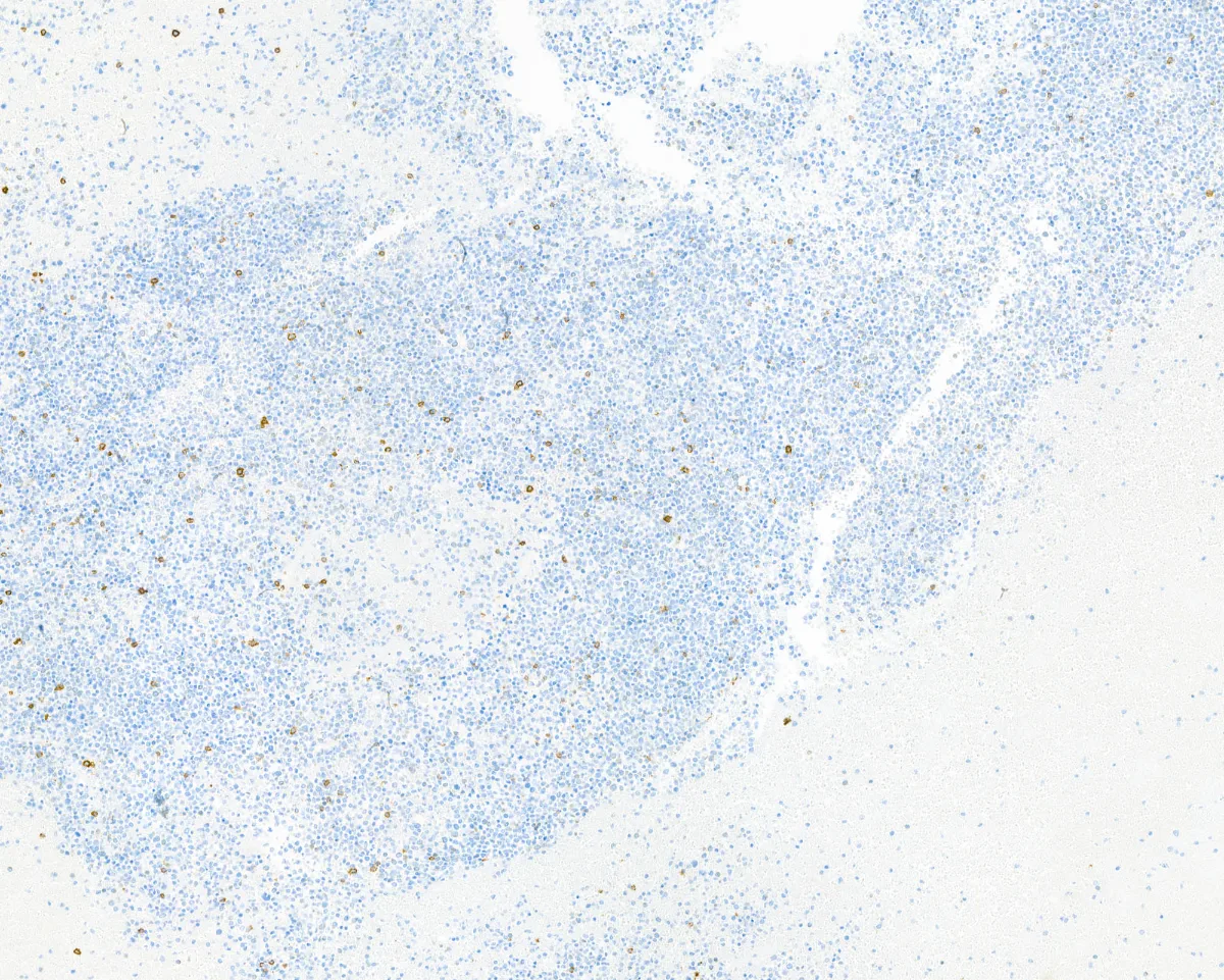
CD34

C-KIT (CD117)

KI67

Mieloperoxidasa

Tdt
¿Cuál es tu diagnóstico?
El diagnóstico y los aspectos esenciales de esta entidad se encuentran a continuación…
Diagnóstico: SARCOMA MIELOIDE INTRACRANEAL
Aspectos esenciales:
- El sarcoma mieloide es una manifestación extramedular de neoplasias hematológicas de origen mieloide, frecuentemente la leucemia mieloide aguda (68,8% de los casos) (PMID: 39328673). En un 25% de los casos se diagnostica meses o años antes de la leucemia mieloide aguda (PMID: 37300577).
- La edad media de presentación es de 34,8 años (PMID: 39328673).
- Los sarcomas mieloides intracraneales se presentan habitualmente en continuidad a la capa meníngea o ependimaria, suponiendo un reto diagnóstico en la resonancia magnética por su similar apariencia con los meningiomas, las metástasis cerebrales y los linfomas (PMID: 37300577).
- Con frecuencia conllevan una intervención quirúrgica urgente por el efecto masa producido por el edema vasogénico (PMID: 37300577).
- Está compuesto por sábanas de células de tamaño intermedio de origen mieloide, positivas para CD34 y MPO (PMID: 39328673).
- El estudio inmunohistoquímico para detectar marcadores de serie monocítica, tales como CD68, CD163 o MPO puede ayudar a la distinción entre el sarcoma mieloide intracraneal de otros procesos neoplásicos o reactivos (PMID: 40951121).
- Ni el tratamiento quirúrgico ni la exéresis del tumor se correlacionan con la supervivencia. Se recomienda el tratamiento quimioterápico o radioterápico adyuvante (PMID: 39328673).

