Enhorabuena a David Laguna Macarrilla, residente de 3º año del Hospital Universitario Son Espases, por ser el autor de nuestro CASO DEL MES de ENERO DEL 2025.
DESCRIPCIÓN DEL CASO:
Varón de 61 años con HTA, hiperuricemia e hipertrigliceridemia, así como antecedente de mastocitosis cutánea en 2001, que en un estudio por poliglobulia y trombocitosis en 2023 se diagnostica de Policitemia vera JAK2+, actualmente bien controlada con Hidroxiurea. Acude a consulta porque hace unos años que ante situaciones de estrés padece de flushing y cambios de temperatura, así como sensación de embotamiento, taquicardia y constricción nasal que se le mejora con corticoides inhalados tópicos. Además, refiere episodios diarreicos que empeoran con bebidas alcohólicas y comidas “atípicas”.
En el estudio de extensión se objetiva una Triptasa sérica elevada (181 µg/l), así como mutación en KIT p.D816V en sangre periférica. Se realiza biopsia de médula ósea…
Imágenes:

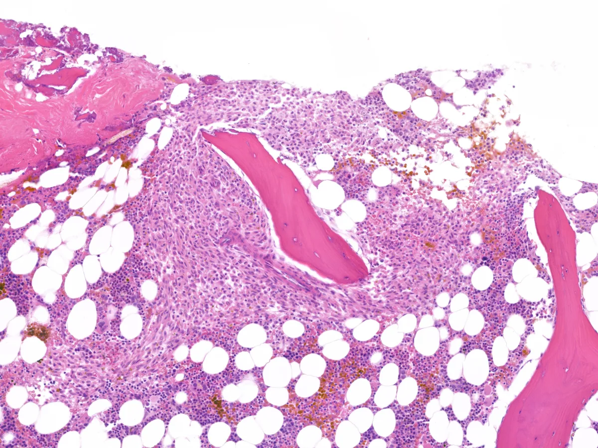
1. HE 2x

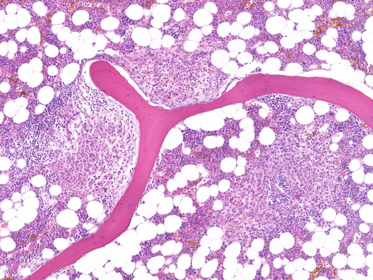
2. HE 20x

3. HE 20x

4. HE 40x

5. Triptasa 40x

6. CD117 40x

7. CD2 40x

8. CD25 40x

9. CD30 40x

10. Reticulina 40x
¿Cuál es tu diagnóstico?
El diagnóstico y los aspectos esenciales de esta entidad se encuentran a continuación…
Diagnóstico: Mastocitosis sistémica asociada a neoplasia hematológica (Policitemia Vera).
Aspectos esenciales:
- Las mastocitosis representan un conjunto heterogéneo y raro de enfermedades caracterizadas por una acumulación de mastocitos anormales en varios órganos y tejidos. PMID: 35732831
- Presentan un comportamiento clínico variable y una histología compleja. Dentro de las mastocitosis se encuentran las mastocitosis cutáneas, las mastocitosis sistémicas con sus diferentes subtipos clínicos y el sarcoma de mastocitos. PMID: 35732831
- Para el diagnóstico de mastocitosis sistémica (MS) es necesario el análisis citohistológico de una biopsia o aspirado de médula ósea, siendo el criterio mayor la presencia de agregados de >15 mastocitos en médula ósea u otros órganos extracutáneos y los criterios menores una morfología atípica, las mutaciones en KIT, una triptasa sérica elevada y un inmunofenotipo aberrante (incluyendo CD2, CD25 y CD30). PMID: 34901755
- Según la afectación clínica hay diferentes subtipos de mastocitosis sistémica, entre las que se incluyen la MS indolente, la MS de médula ósea, la MS quiescente, la MS asociada a neoplasia hematológica, la MS agresiva y la leucemia de mastocitos. PMID: 34901755
- La MS con neoplasia hematológica asociada cursa más frecuentemente con neoplasias mieloides, entre las que se desriben: MDS/MPN (CMML), MDS, MPN o AML. PMID: 35732831
- La MS está impulsado por mutaciones KIT en el exón 17 (principalmente KIT p.D816V en > 90 % de los casos de adultos), independientemente del subtipo de MS. Las mutaciones de KIT p.D816V y la consiguiente activación aberrante (constitutiva) de KIT impulsan la diferenciación, proliferación y supervivencia de los mastocitos. La señalización mediada por KIT activa múltiples vías posteriores, incluidas PI3K, JAK/STAT y MAPK. PMID: 30007460
- La mastocitosis sistémica bien diferenciada (MSBD) representa un subtipo morfológico que puede verse en cualquier subtipo de MS, predominantemente en mujeres o en la infancia, con frecuente agregación familiar. Este subtipo morfológico presenta mastocitos de aspecto maduro y puede darse en cualquier subtipo de MS (presente en un 5% de los pacientes con MS). PMID: 26100086
- En la MSBD, el porcentaje de mastocitos en médula ósea es normalmente alto, con células redondas con núcleos centrados y gránulos citoplasmáticos. Los mastocitos suelen tener un fenotipo CD2-/débil, CD25-/débil y CD30+, y la mutación KITD816V es menos frecuente que en otros subtipos de MS. PMID: 26100086

