Enhorabuena a Jimena Vadillo Corcuera, residente de primer año del Hospital Universitario de Araba Txagorritxu, por ser el autor de nuestro CASO DEL MES DE ENERO DEL 2025.
DESCRIPCIÓN DEL CASO:
Paciente varón de 71 años que acude al Servicio de Urgencias por odinofagia de 2 semanas de duración que ha ido empeorando progresivamente, refractaria a tratamiento óptimo.
No alergias medicamentosas conocidas, no –OH, no antecedentes ORL de interés.
Exploración física: Tª38º, Orofaringe: tumefacción pilar anterior izquierdo, no colecciones ni abombamiento en hemivelo palatino, hipertrofia amigdalar izquierda.
En seguimiento por el servicio de Otorrinolaringología.
RM cavidad oral: Marcada asimetría / aumento de volumen de amígdala palatina izquierda con áreas de señal heterogénea-quísticas. Difícil de caracterizar, cambios post-infecciosos con inflamación periamigdalar.
PET-CT diagnóstico con 18F-FDG: Lesión centrada en amígdala palatina izquierda, heterogénea, con la extensión anteriormente reseñada. Es posible que coexistan varias lesiones. Metabólicamente sugestiva de lesión neoplásica. Adenopatías hipermetabólicas laterocervicales izquierdas, compatibles con infiltración tumoral desde el punto de vista metabólico.
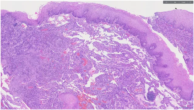
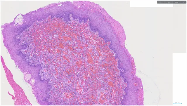
Biopsia por incisión de amígdala (amígdala izquierda).
Imágenes:

1 H&E

2 H&E

3 H&E

4 H&E

5 H&E

6 WT1

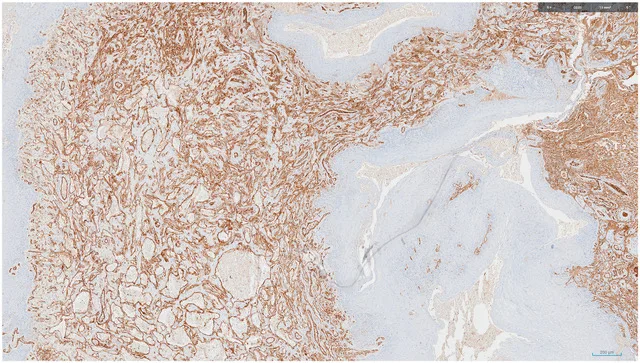
7 CD31

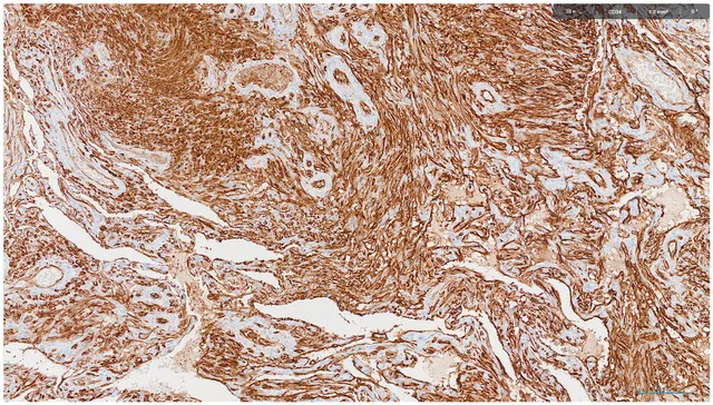
8 CD34

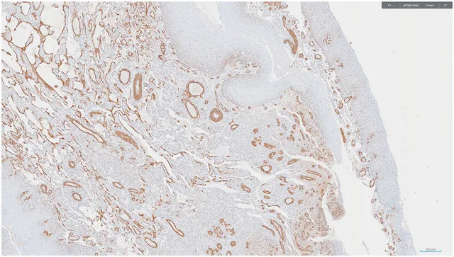
9 ACTINA

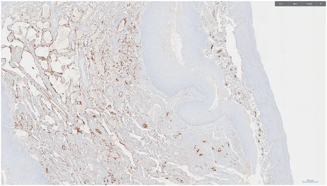
10 HHV8
¿Cuál es tu diagnóstico?
El diagnóstico y los aspectos esenciales de esta entidad se encuentran a continuación…
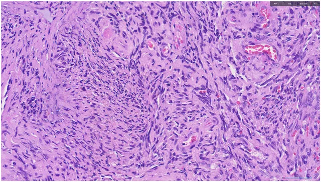
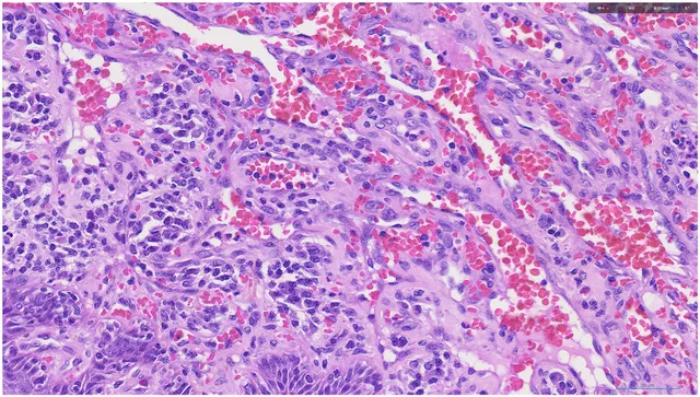
Diagnóstico: SARCOMA DE KAPOSI, con intenso artefacto de cauterio en la muestra remitida.
Aspectos esenciales:
- TÉCNICAS DE INMUNOHISTOQUÍMICA: WT1, CD31, CD34, HHV-8: positivas.
- Nuestro paciente es VIH NEGATIVO.
- La incidencia de SK en la población general es de 1 caso por cada 100 000 habitantes, mientras que es de 1 por cada 20 habitantes en la población infectada por el VIH. PMID: 25755902
- El herpesvirus asociado al sarcoma de Kaposi (KSHV) es un virus humano de ADN bicatenario responsable del desarrollo del sarcoma de Kaposi (SK). PMID: 40827105
- Se ha descrito que el SK se presenta en cuatro formas clínicas: clásica, iatrogénica (postrasplante), endémica y epidémica. PMID: 31049254
- El SK orofaríngeo y, en particular, el SK aislado de la amígdala son extremadamente raros y solo se han descrito unos pocos casos en la literatura. PMID: 25755902
- El diagnóstico diferencial del sarcoma de Kaposi oral incluye angiomatosis bacilar, granuloma piogénico, linfoma, hemangioma oral y otras proliferaciones vasculares benignas. PMID: 21792787
- Las entidades más problemáticas en el diagnóstico diferencial son el hemangioendotelioma kaposiformey el angiosarcoma. PMID: 21792787
- Microscópicamente, el sarcoma de Kaposi aparece como láminas de células fusiformes atípicas que forman espacios vasculares en forma de hendidura, que contienen eritrocitos extravasados. PMID: 21792787
- El diagnóstico definitivo de sarcoma de Kaposi (SK) se basa en la identificación del herpesvirus humano 8 (HHV-8) PMID: 39649864
- Conclusión: El sarcoma de Kaposi debe tenerse en cuenta como diagnóstico diferencial en pacientes que presentan un crecimiento unilateral de la amígdala. PMID: 31049254

