Enhorabuena a Juan Manuel Molina López, residente de 1º año del Hospital General Universitario de Alicante Doctor Balmis, por ser el autor de nuestro CASO DEL MES de FEBRERO.
DESCRIPCIÓN DEL CASO:
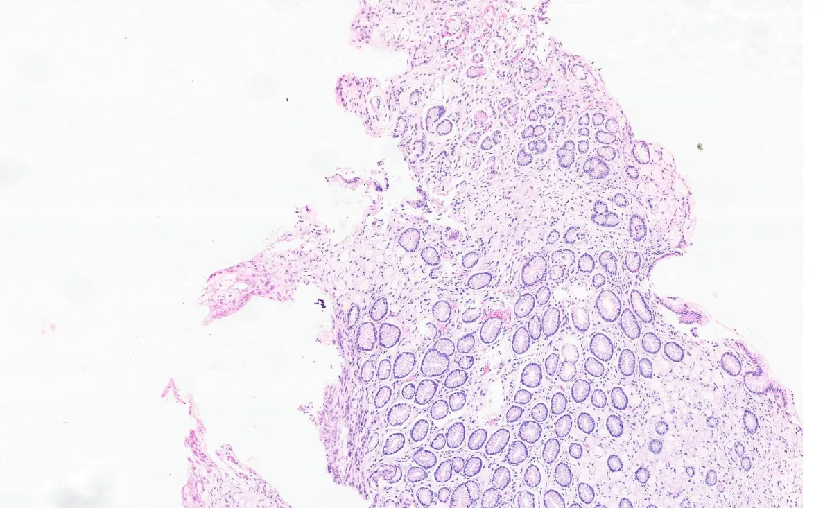
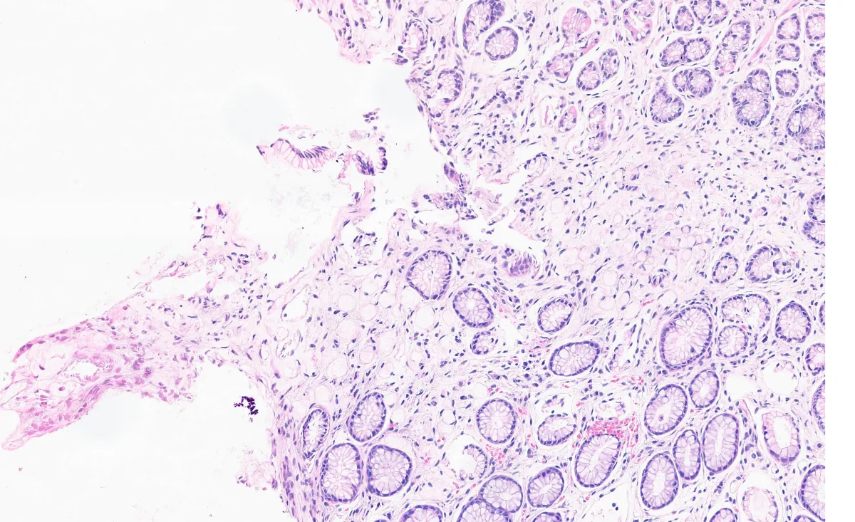
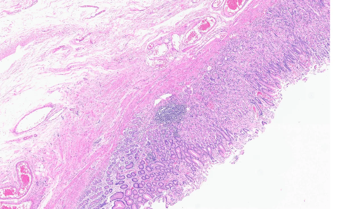
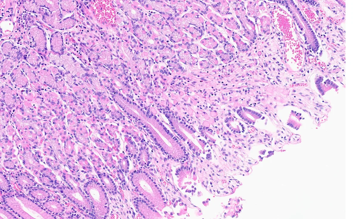
Paciente mujer de 45 años evaluada en la Unidad de Consejo Genético debido a una historia familiar de cáncer gástrico (madre a los 44 años y hermana a los 34 años, ambas fallecidas), sin otros antecedentes de interés. El estudio genético revela la presencia de una variante de significado incierto en el gen CDH1 (c.1808G>A; p.Cys603Tyr). Gastroscopia realizada bajo el Protocolo de Cambridge, que muestra infiltración por carcinoma difuso de células en anillo de sello en una de las biopsias del antro gástrico. No se observan signos de metástasis en estudios de imagen. Tras discusión en comité multidisciplinario, se decide realizar gastrectomía total y linfadenectomía laparoscópica. En la pieza quirúrgica se confirma carcinoma de células en anillo de sello en región antral.
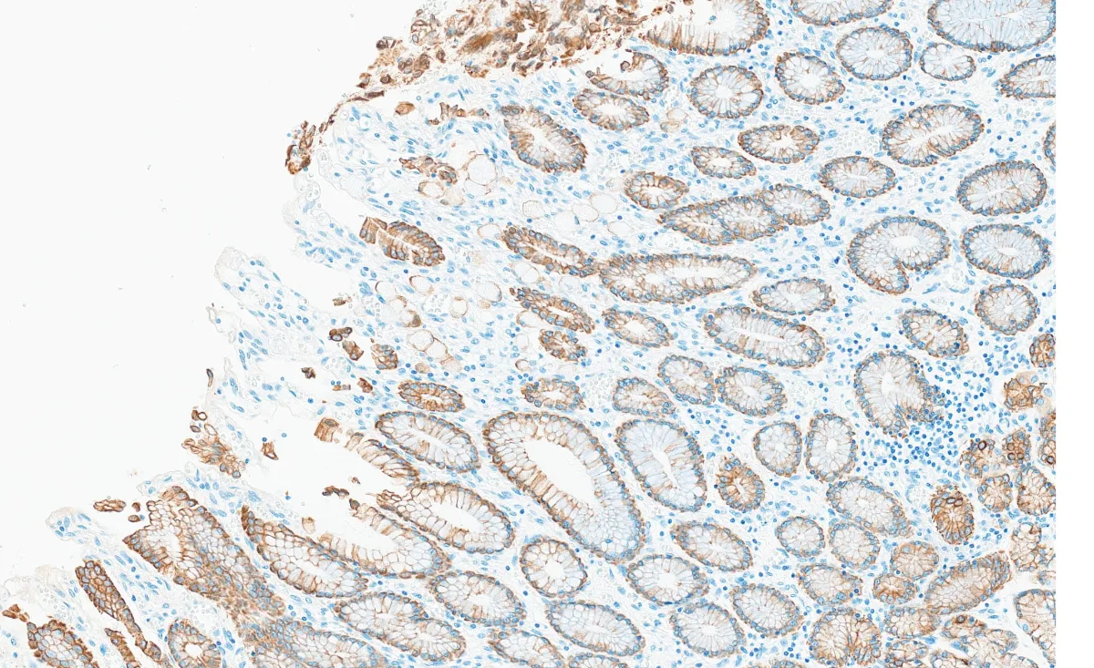
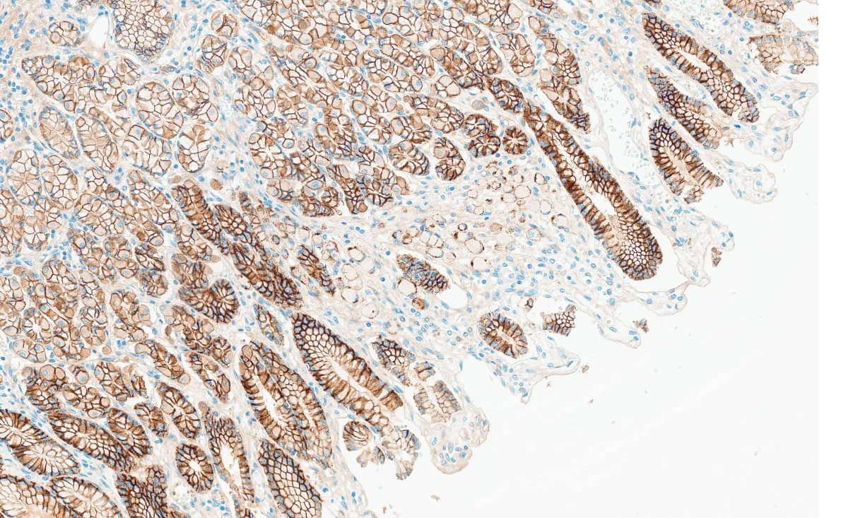
Imágenes:

1. BIOPSIA HE X200

2. BIOPSIA HE X400

3. BIOPSIA CKAE1-AE3 X400

4. GASTRECTOMÍA HE X100

5. GASTRECTOMÍA HE X400

6. GASTRECTOMÍA CKA-AE1AE3 X400

7. GASTRECTOMÍA E-CADHE X400
¿Cuál es tu diagnóstico?
El diagnóstico y los aspectos esenciales de esta entidad se encuentran a continuación…
Diagnóstico: Carcinoma gástrico difuso de células en anillo de sello.
Aspectos esenciales:
- El carcinoma gástrico difuso de células en anillo de sello se define como un carcinoma poco cohesivo compuesto predominantemente de células tumorales con mucina citoplasmática prominente y un núcleo en forma de media luna desplazado excéntricamente (PMID: 35618879).
- El síndrome de cáncer gástrico difuso hereditario (HDGC), puede presentarse con variantes patogénicas de la línea germinal CDH1, desarrollando un adenocarcinoma gástrico a lo largo de su vida en el 30-40% de los casos (PMID: 37707375).
- La mayoría de individuos con estas mutaciones, presentan adenocarcinomas intramucosos multifocales en estadio IA ocultos, a pesar de la penetrancia incompleta del cáncer gástrico avanzado asociado a CDH1 (PMID: 37707375).
- Cuando se produce invasión de la submucosa, la diseminación es rápida y amplia, por lo que es conveniente realizar un diagnóstico precoz en los pacientes con mutaciones de CDH1 con biopsias dirigidas aleatorias de diferentes partes del estómago, siguiendo protocolos específicos como el Protocolo Cambridge (PMID: 36111615).
- Dada la dificultad en la identificación de células, existen protocolos específicos y una lista de verificación para el examen histológico, que optimizan el aislamiento e identificación de células asociadas al carcinoma de células en anillo de sello (PMID: 37925632).
- La tinción inmunohistoquímica con E-cadherina suele mostrar una pérdida o reducción de su expresión en este tipo de tumores. (PMID: 36652613).

