Enhorabuena a David Laguna Macarrilla, residente de cuarto año del Hospital Universitario Son Espases, por ser el autor de nuestro CASO DEL MES FEBRERO DEL 2026.
DESCRIPCIÓN DEL CASO:
Varón de 27 años, con asma bronquial bien controlada con doble terapia broncodilatadora, sin otros antecedentes personales destacables. Actualmente acude a su médico de atención primaria por cuadro poliadenopático en región cervical, así como astenia y pérdida de peso. En la exploración física se objetivan varias adenopatías, la de mayor tamaño de localización retrocervical de 1 cm, de consistencia dura, no dolorosa y móvil. La analítica en sangre periférica revela ligera linfocitosis con neutropenia y una LDH en límite alto (225UI/L).
Ante la sospecha de síndrome linfoproliferativo se realiza TAC-TAP que evidencia, además, adenopatías milimétricas axilares bilaterales (la de mayor tamaño de 11 mm), sin afectación de cadena mediastínica ni supraclavicular.
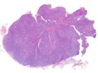
Se realiza biopsia excisional de una adenopatía cervical para estudio histológico…
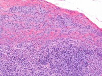
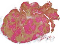
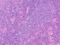
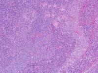
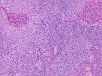
Imágenes:

¿Cuál es tu diagnóstico?
El diagnóstico y los aspectos esenciales de esta entidad se encuentran a continuación…
Diagnóstico:
• Linfadenopatía reactiva secundaria a infección por Toxoplasma gondii.
• Nevus melanocítico nodal.
Aspectos esenciales:
• La toxoplasmosis es el término que utilizamos para describir la infección y enfermedad zoonótica en humanos y animales causada por el protozoo intracelular Toxoplasma gondii. La infección por Toxoplasma es seroprevalente en aproximadamente el 33% de la población mundial.
PMID: 15194258
• Los gatos son los únicos huéspedes definitivos. Los humanos se infectan a través de suelo contaminado, cajas de arena para mascotas e ingestión de carne poco cocinada.
PMID: 20202907
• La linfadenitis por Toxoplasma gondii es la forma sintomática más común de toxoplasmosis adquirida en inmunocompetentes. Se presenta típicamente como linfadenopatía cervical, única o múltiple, no dolorosa, de crecimiento lento y sin signos inflamatorios. Inusualmente la enfermedad puede cursar con hepatoesplenomegalia y linfadenopatía generalizada.
PMID: 20202907; PMID: 15194258.
• Histológicamente se observa una tríada característica (también conocida como linfadenitis de Piringer-Kuchinka): un patrón de hiperplasia folicular con centros germinales reactivos, histiocitos epitelioides perifoliculares (ocasionalmente formando agregados en forma de microgranulomas e invadiendo los folículos) y una expansión paracortical de células B de aspecto monocitoide.
PMID: 4580783; PMID: 34042094.
• Entre los diagnósticos diferenciales se incluyen procesos linfoproliferativos, autoinmunes, tuberculosis, sarcoidosis y otras infecciones virales o bacterianas.
PMID: 37251291
• Con frecuencia cursa con la resolución espontánea en semanas o meses, por lo que el tratamiento no suele ser necesario en casos leves. En formas sintomáticas o persistentes se emplea pirimetamina y sulfadiazina.
PMID: 15194258; PMID: 20202907.
• Los nevus melanocíticos ganglionares son inclusiones benignas de células melanocíticas localizadas en la cápsula o trabéculas del ganglio, sin atipia ni actividad mitótica. Se consideran hallazgos incidentales sin relevancia clínica.
PMID: 8037154; PMID: 35059868
• Pueden simular metástasis de melanoma, pero su localización periférica y ausencia de rasgos atípicos permiten diferenciarlos. La inmunohistoquímica (S100+, Melan-A+, HMB45+) confirma su naturaleza melanocítica.
PMID: 8037154; PMID: 35059868

