Enhorabuena a María José Naharro Gascón, residente de 2º año del Hospital Doctor Peset de Valencia, por ser el autor de nuestro CASO DEL MES DE MAYO DEL 2025.
DESCRIPCIÓN DEL CASO:
Varón de 18 años ingresado en Medicina Interna por un cuadro poliadenopático, asociado a serositis con derrame pleural y ascítico, hepatomegalia, proteinuria y anemia de 20 días de evolución. Ante la sospecha de síndrome linfoproliferativo, se realiza PET-TC (18F-FDG), que muestra adenopatías múltiples axilares izquierdas hipermetabólicas, por lo que se realiza exéresis de una de ellas.
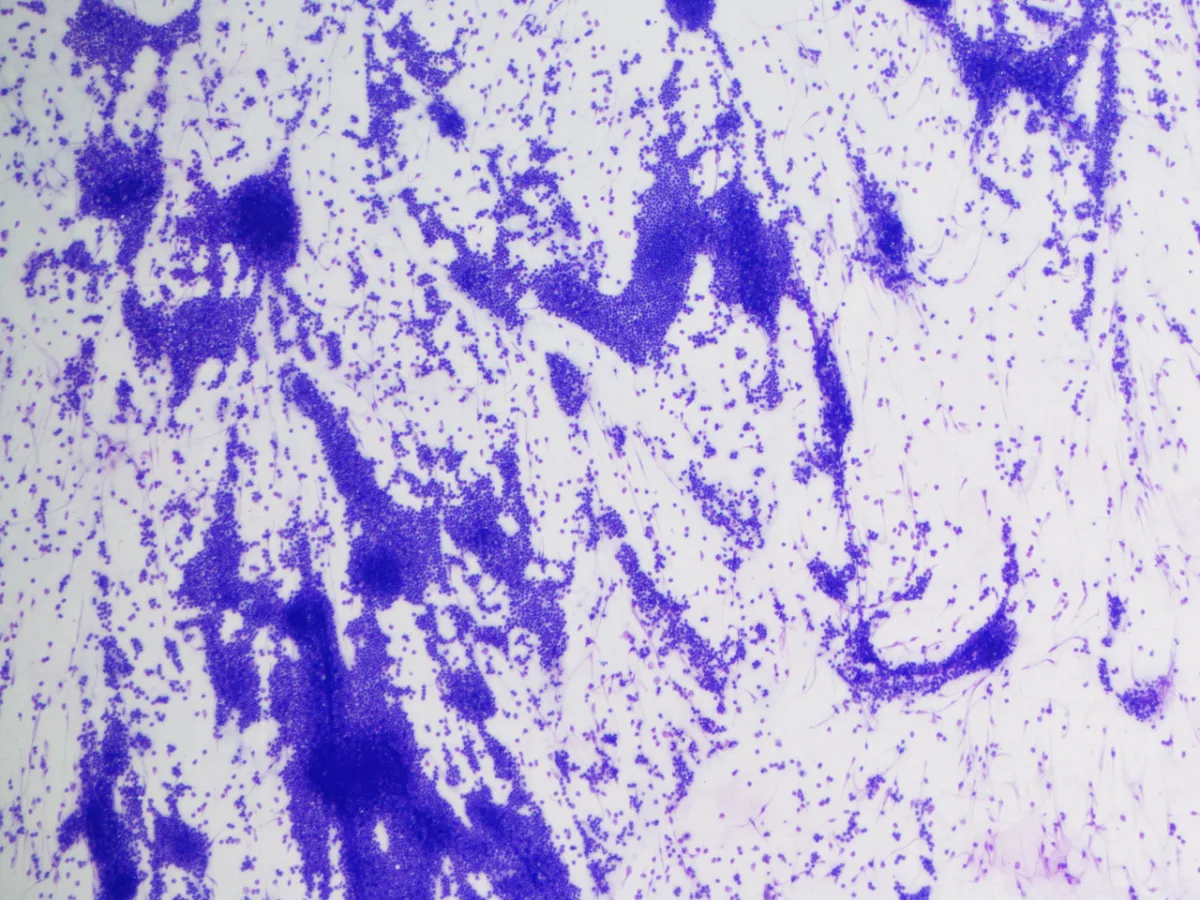
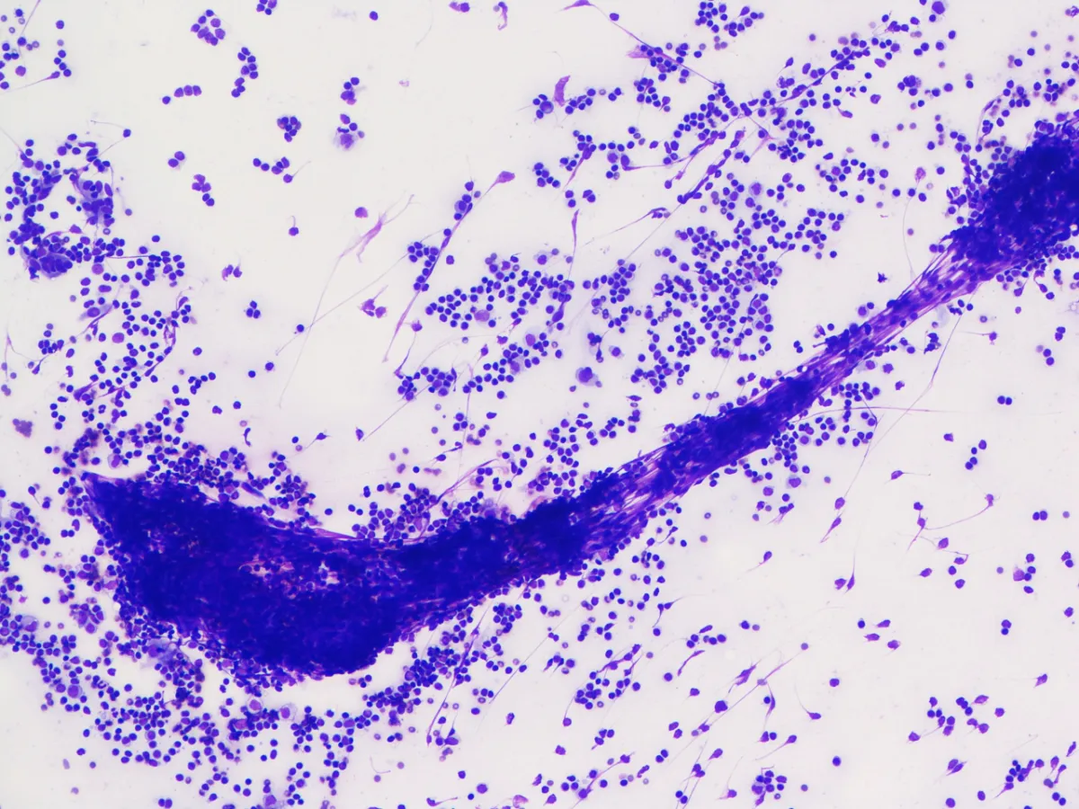
Recibimos en nuestro servicio una adenopatía en fresco, realizamos improntas y procesamos para estudio en parafina.
Imágenes:

1-DIFF 1- cito

2-DIFF 2 -cito

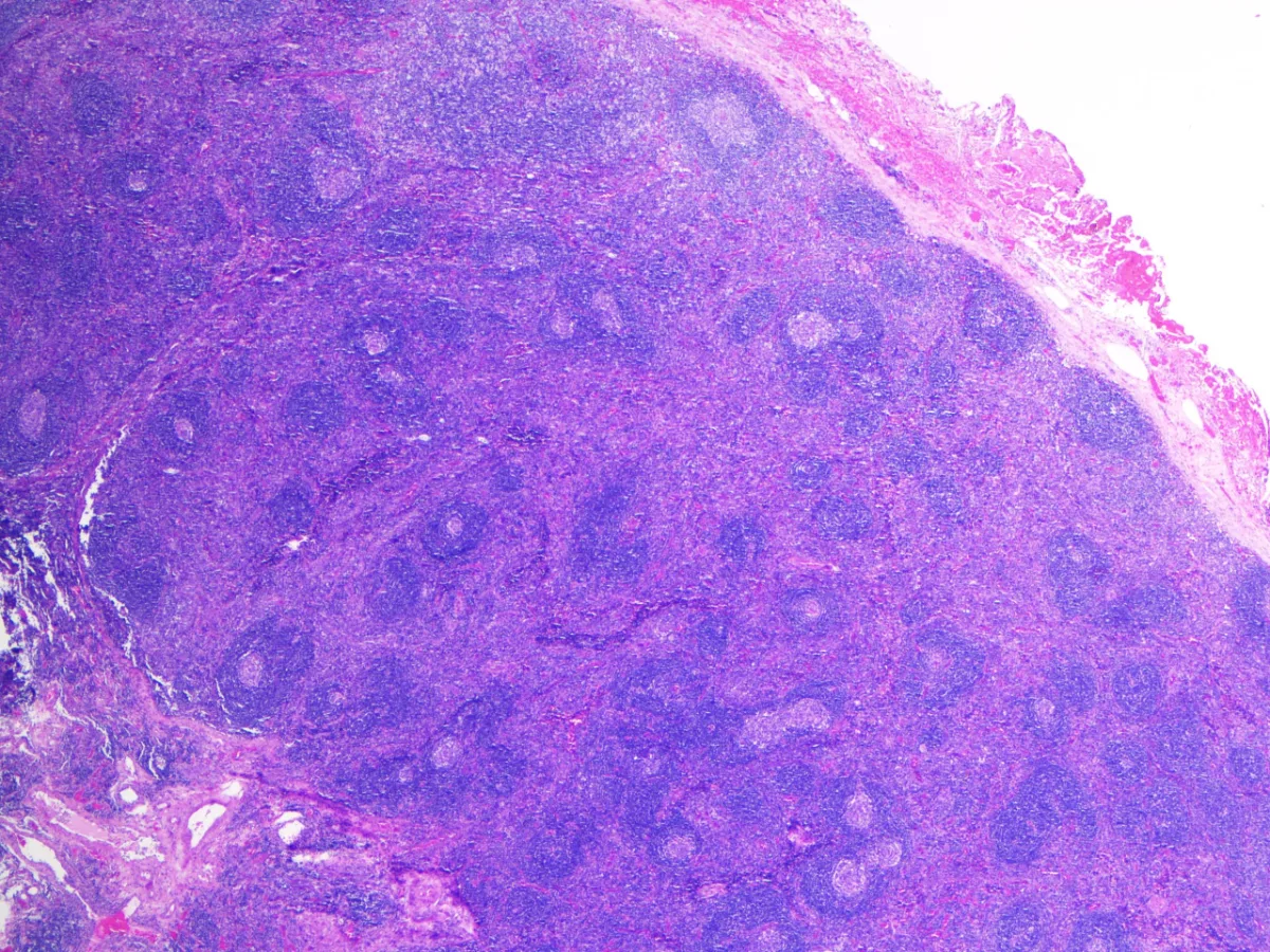
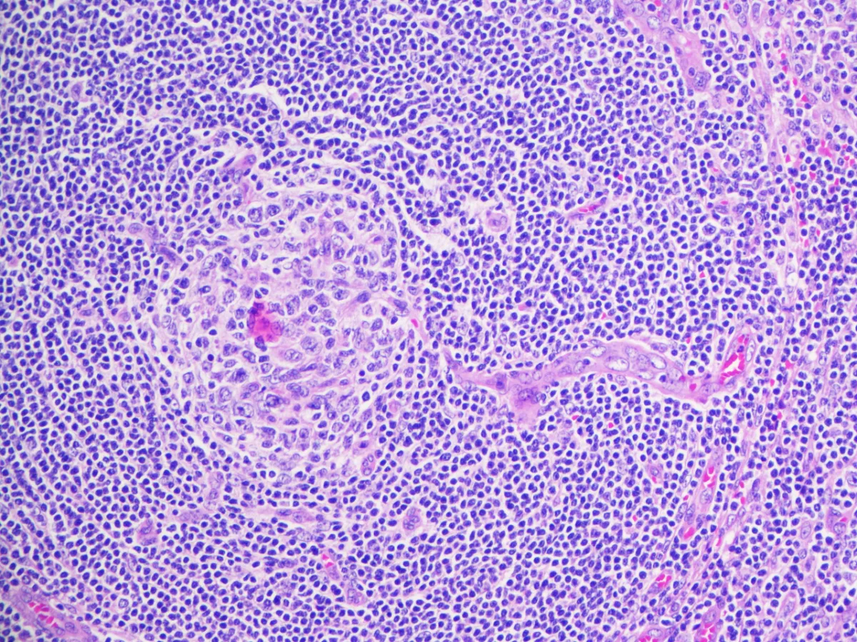
3-HE1

4-HE2

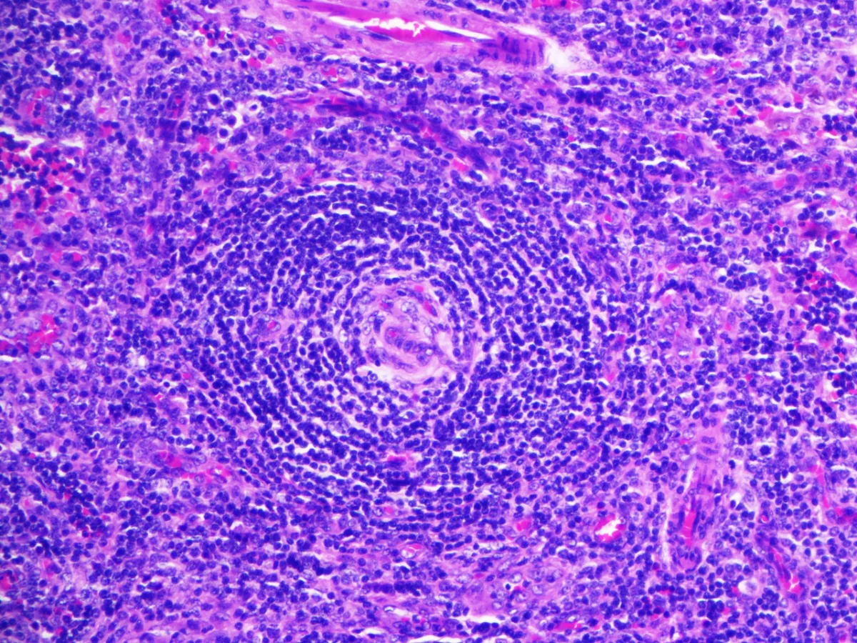
5-HE3

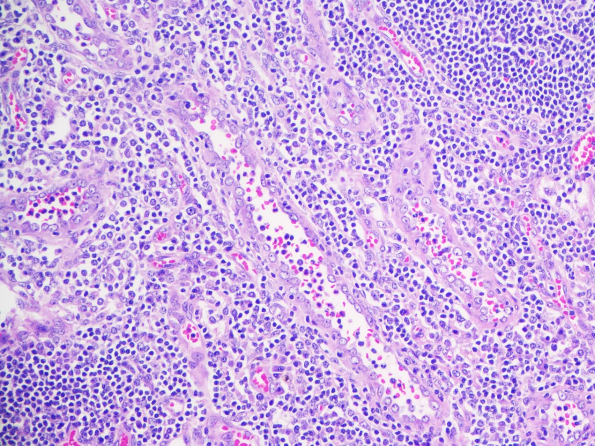
6-HE4

7-HE5

8-CD5

9-CD20

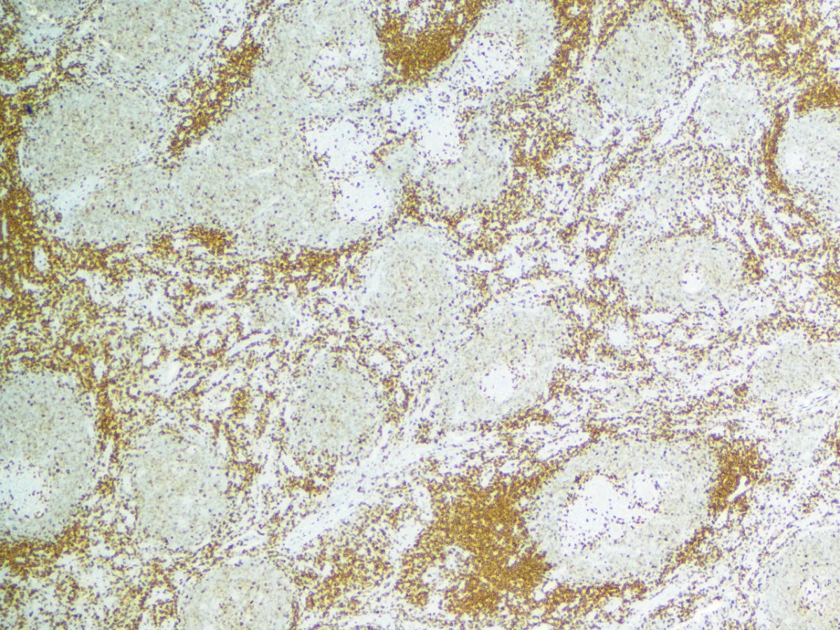
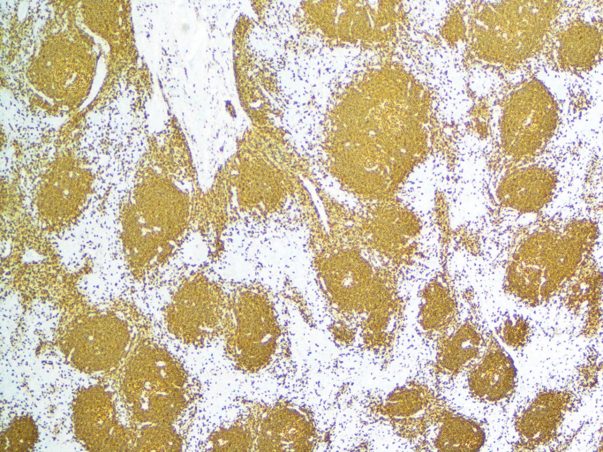
10-CD21
¿Cuál es tu diagnóstico?
El diagnóstico y los aspectos esenciales de esta entidad se encuentran a continuación…
Diagnóstico: Enfermedad de Castleman, variante hialino-vascular.
Aspectos esenciales:
- La Enfermedad de Castleman (EC) engloba un amplio grupo de trastornos linfoproliferativos que presentan algunas características histológicas comunes. Se trata de una entidad rara de prevalencia desconocida, aunque se estima una incidencia inferior a 1 caso por 100.000 habitantes (PMID: 38016855).
- La EC se clasifica en unicéntrica o multicéntrica (PMID 36219975).
- La EC unicéntrica consiste en una hiperplasia linfática benigna localizada de buen pronóstico, mientras que la multicéntrica presenta síntomas inflamatorios sistémicos y disfunción orgánica además de linfadenopatías generalizadas (PMID: 35997567).
- A nivel histológico, la EC se diferencia en una variante hialino-vascular y una plasmocítica.
- La variante hialino-vascular es la más frecuente en la EC unicéntrica, y se caracteriza por una hiperplasia linfoide con centros germinales regresivos y zona del manto expandida en aspecto “en capas de cebolla”. Se acompaña de proliferación vascular en forma de vénulas con endotelio alto, y células dendríticas foliculares prominentes (PMID: 35997567).
- En el estudio citológico de la EC se observa proliferación de vasos asociados a centros germinales (PMID: 18855889).
- La EC multicéntrica se puede asociar al HHV-8 (PMID: 35459346).

