Enhorabuena a Judith Rodríguez Pous, residente de cuarto año del Hospital Universitario de Bellvitge, por ser el autor de nuestro CASO DEL MES CORRELACIÓN CITO-HISTO de NOVIEMBRE DEL 2025.
DESCRIPCIÓN DEL CASO:
Paciente varón de 55 años no fumador con síntomas respiratorios y fiebre de repetición sin buena respuesta a tratamiento antibiótico.
El TC torácico muestra condensaciones parenquimatosas en ambos pulmones, planteando como primera opción diagnóstica una neumonía bilateral. Ante estos hallazgos se decide realizar un lavado broncoalveolar, un broncoaspirado, una biopsia bronquial y debido a los diagnósticos iniciales también una biopsia pulmonar.
Imágenes:

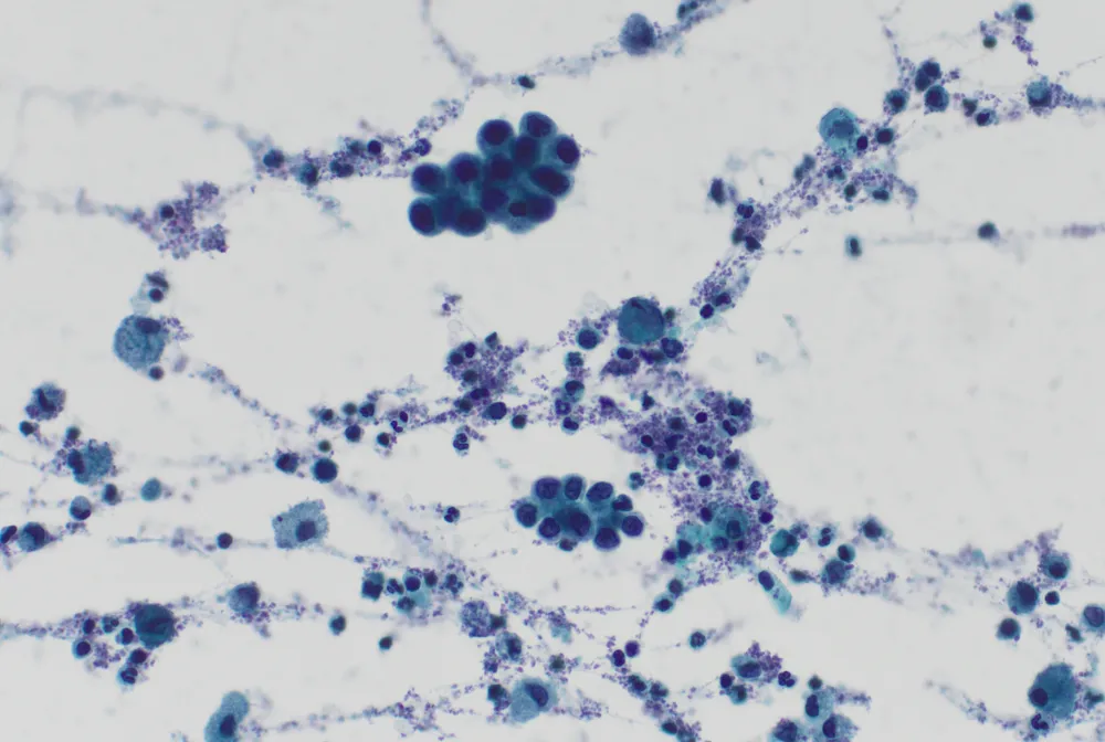
1-BAL citologia 10x

2-BAL citologia 60x

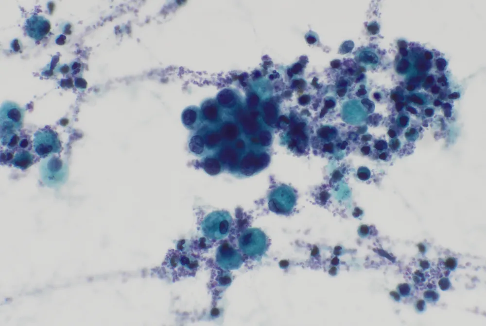
3-BAS citologia 40x

4-BAS citologia 60x

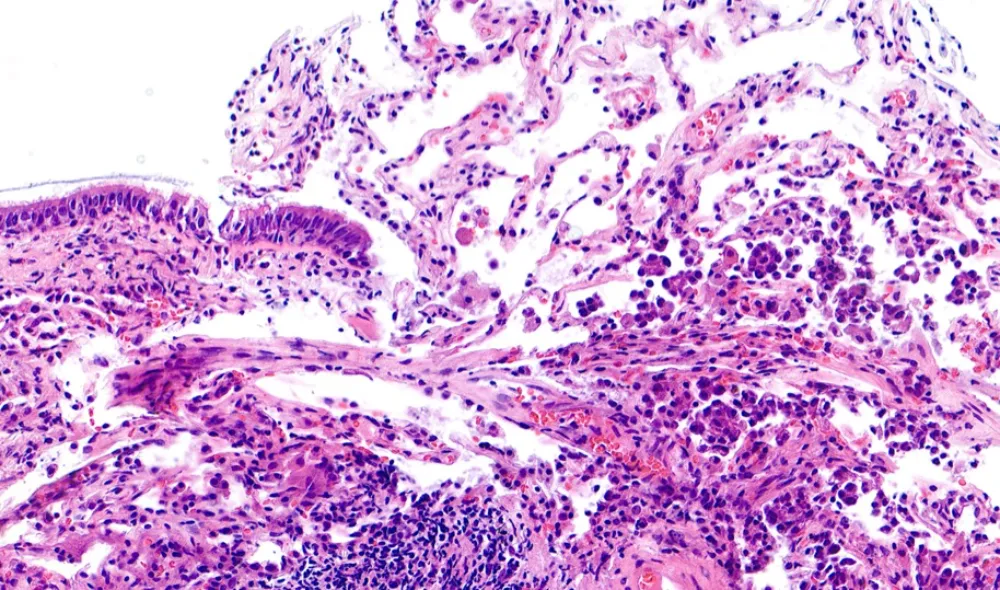
5-HE 1. Biopsia bronquial

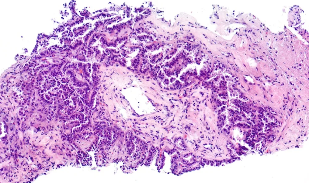
6-HE 2. Biopsia pulmonar
¿Cuál es tu diagnóstico?
El diagnóstico y los aspectos esenciales de esta entidad se encuentran a continuación…
Diagnóstico: ADENOCARCINOMA PULMONAR INFILTRANTE DE PATRÓN PAPILAR Y MICROPAPILAR. ESTUDIO NGS: MUTACIÓN L747_S752 EN EL GEN EGFR
Aspectos esenciales:
- Las citologías muestran un fondo inflamatorio mixto asociado con macrófagos y grupos redondeados cohesivos de células que presentan núcleos generalmente monótonos con alguna pequeña irregularidad en la membrana nuclear y alteración en la relación núcleo-citoplasma. Ante esta atipia citológica leve se plantea el diagnóstico diferencial entre reactividad y malignidad, pero se sugiere un diagnóstico de sospechoso de malignidad por la cantidad elevada de grupos.
- Desde el punto de vista citomorfológico, una atípia leve en un contexto neumónico resistente a tratamiento debe plantear diagnóstico diferencial entre reactividad y malignidad. (PMID 39092428)
- La biopsia bronquial evidencia grupos celulares que se “descaman” hacia los espacios alveolares, sin observarse tumor infiltrante.
- En piezas quirúrgicas, a diferencia de muestras citológicas o biopsias, se requiere definir el patrón tumoral predominante y el porcentaje de los patrones secundarios por su impacto pronóstico.
- El patrón micropapilar del adenocarcinoma se asocia a un mayor grado histológico, mayor invasión linfovascular y peor pronóstico. (PMID: 18516041)
- El adenocarcinoma de patrón micropapilar presenta más alteraciones en el gen EGFR, después del adenocarcinoma lepídico y acinar. (PMID: 31692283)
- La alteración en el gen EGFR se asocia con más frecuencia al sexo femenino y a la condición de no fumador. (PMID: 18571764)

