Enhorabuena a Elena María García Pastor, residente del Hospital Universitario Virgen de la Victoria (Málaga), por ser la autora de nuestro CASO DEL MES de OCTUBRE 2025.
DESCRIPCIÓN DEL CASO:
Mujer de 72 años diagnosticada de faringoamigdalitis ulcero-necrótica por odinofagia de 3 meses de evolución que es derivada al otorrinolaringólogo por persistencia de dolor y molestias al tragar a pesar de tratamiento antibiótico.
En la exploración, se observa una lesión que afecta amígdala izquierda y paladar blando que sobrepasa línea media sin poder delimitar claramente sus límites, con áreas necróticas, por lo que se realiza una biopsia incisional cuyo resultado no es diagnóstico ya que se mostraba solo ulceración.
En las pruebas de imagen se informa de masa sólida, en pilar amigdalino izquierdo de 3,7 x 3,8 cm, por lo que se decide hacer biopsia intraoperatoria y según el resultado realizar el tratamiento cervical indicado.
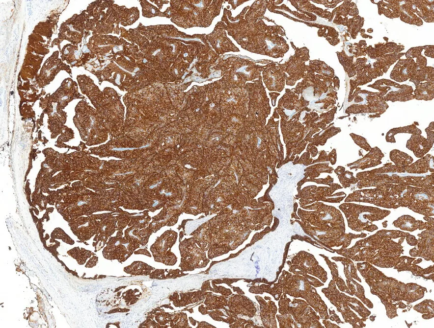
Imágenes:

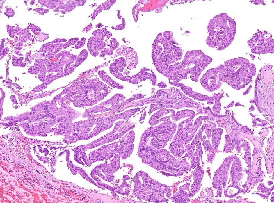
1-H&E1

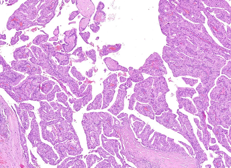
2-H&E2

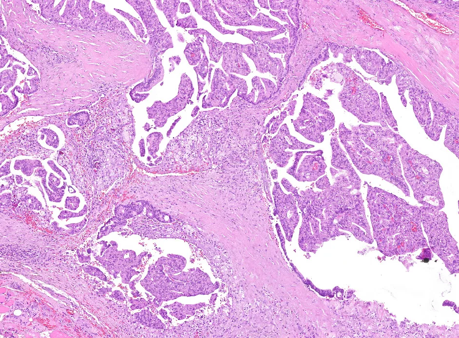
3-H&E3

4-H&E4

5-H&E5

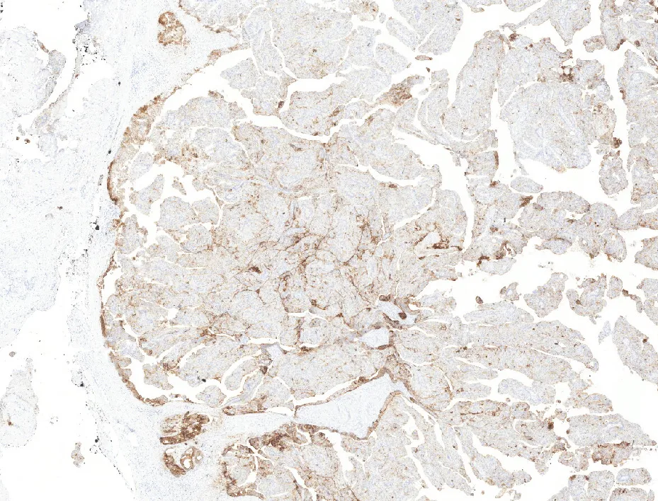
6-CEA

7-CK7

8-EMA
¿Cuál es tu diagnóstico?
El diagnóstico y los aspectos esenciales de esta entidad se encuentran a continuación…
Diagnóstico: Adenocarcinoma mucinoso, anteriormente denominado cistoadenocarcinoma papilar, de grado intermedio de localización amigdalar.
Aspectos esenciales:
- Los cistoadenocarcinomas papilares son tumores raros (2%) que suelen afectar a la glándula parótida y sublingual, pero también a glándulas salivales menores de la mucosa bucal, el labio y el paladar. (PMID: 30918612 y PMID: 27510680).
- Son tumores asintomáticos y de crecimiento lento. (PMID: 35252049).
- Se incluyó por primera vez como una entidad independiente en la clasificación de la OMS de tumores de glándulas salivales en 1991. Posteriormente, la palabra «papilar» se eliminó en la clasificación de la OMS de 2005, ya que las papilas no siempre fueron un hallazgo destacado. En la clasificación de la OMS de 2017 se trató de un diagnóstico de exclusión y se agrupaba bajo adenocarcinoma, no especificado de otra manera (NOS). Ahora se agrupan como adenocarcinoma mucinoso. (PMID: 30918612 y PMID: 35252049).
- Se trata del equivalente maligno del cistoadenoma, carece de los rasgos histopatológicos específicos de otros carcinomas salivales con crecimiento quístico. (PMID: 30918612 y PMID: 27510680)
- Histológicamente se caracterizan por áreas quísticas y sólidas con múltiples proyecciones papilares luminales que tienen un núcleo fibrovascular y están revestidas por células epiteliales cúbicas, columnares o secretoras de moco. Inmunohistoquímicamente es CK7, CEA y EMA positivo, siendo negativo para otros marcadores de glándula salival. (PMID: 35252049)
- Algunos autores hablan de un sistema de clasificación dual, en neoplasias de bajo o alto grado, estas últimas suelen tener características localmente agresivas con invasión estromal, atipia citológica, tasa mitótica alta, necrosis y ausencia de características papilares. Aunque nosotros hemos gradado la neoplasia acorde a los parámetros de gradación de la OMS (grado intermedio). (PMID: 30918612)
- Entre los diagnósticos diferenciales encontramos adenocarcinoma polimorfo de bajo grado (siendo en nuestro caso SOX10 negativo), variante quística papilar del carcinoma de células acinares (en nuestro caso positividad citoplasmática focal de DOG1), carcinoma de conductos salivales (en nuestro caso receptores de andrógenos negativo) y carcinoma mucoepidermoide (en nuestro caso Ck 5/6 y p63 negativo). (PMID: 35252049)
El tratamiento es la escisión quirúrgica completa, pudiéndose recomendar radioterapia postoperatoria adicional. Las conclusiones sobre el tratamiento óptimo están limitadas por la relativa rareza de esta entidad y las pocas descripciones en la literatura existente. (PMID: 30918612)

