Enhorabuena a David Laguna Macarrilla, residente de año del Hospital Universitario Son Espases, por ser el autor de nuestro CASO DEL MES de SEPTIEMBRE 2025.
DESCRIPCIÓN DEL CASO:
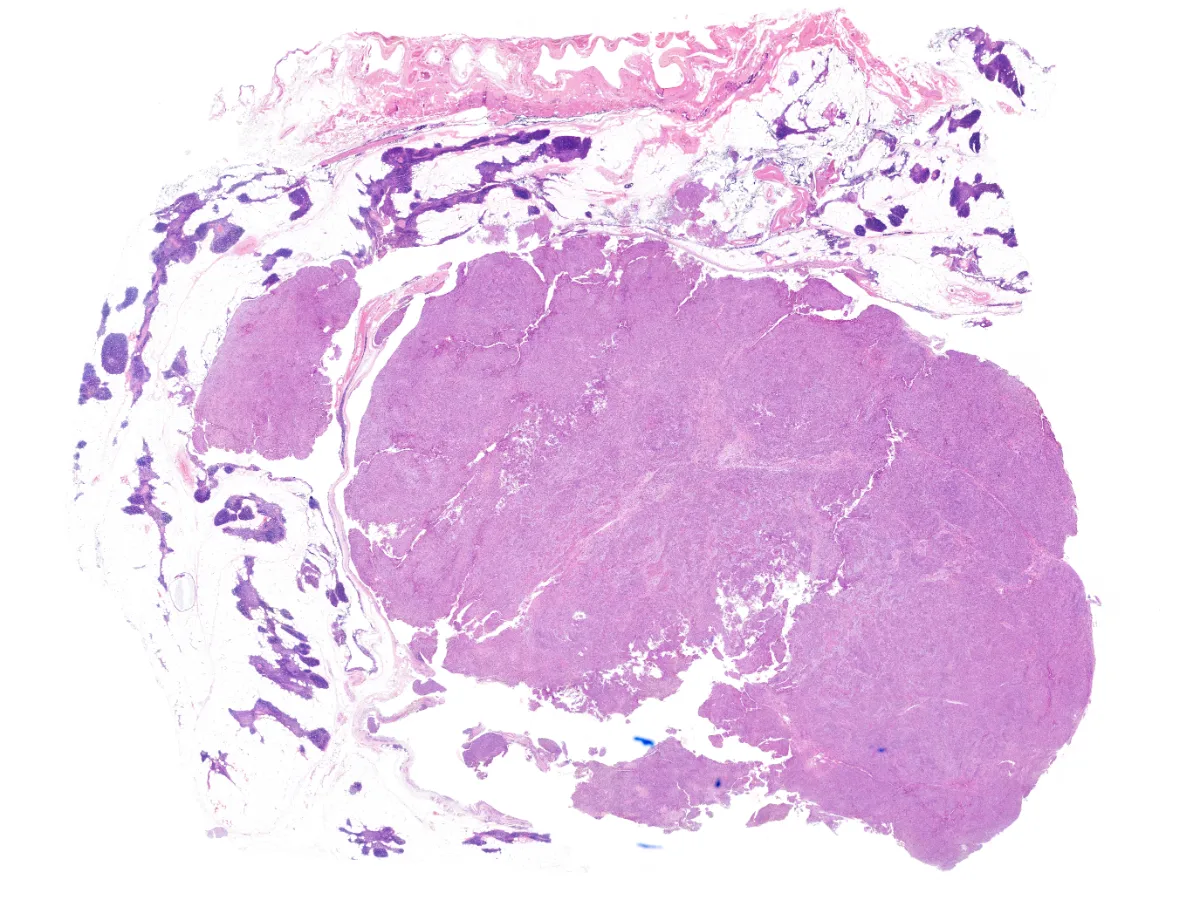
Mujer de 43 años sin antecedentes personales de interés, que en un TC abdomino-pélvico por hidrosálpinx y quistes ováricos se identifica de forma incidental una tumoración en mediastino anterior. Posteriormente se realiza un TC de tórax que describe una masa en celdilla tímica de 42x34x18 mm, sólida, densa y bien delimitada. Se realiza exéresis de la lesión…
Imágenes:
¿Cuál es tu diagnóstico?
El diagnóstico y los aspectos esenciales de esta entidad se encuentran a continuación…

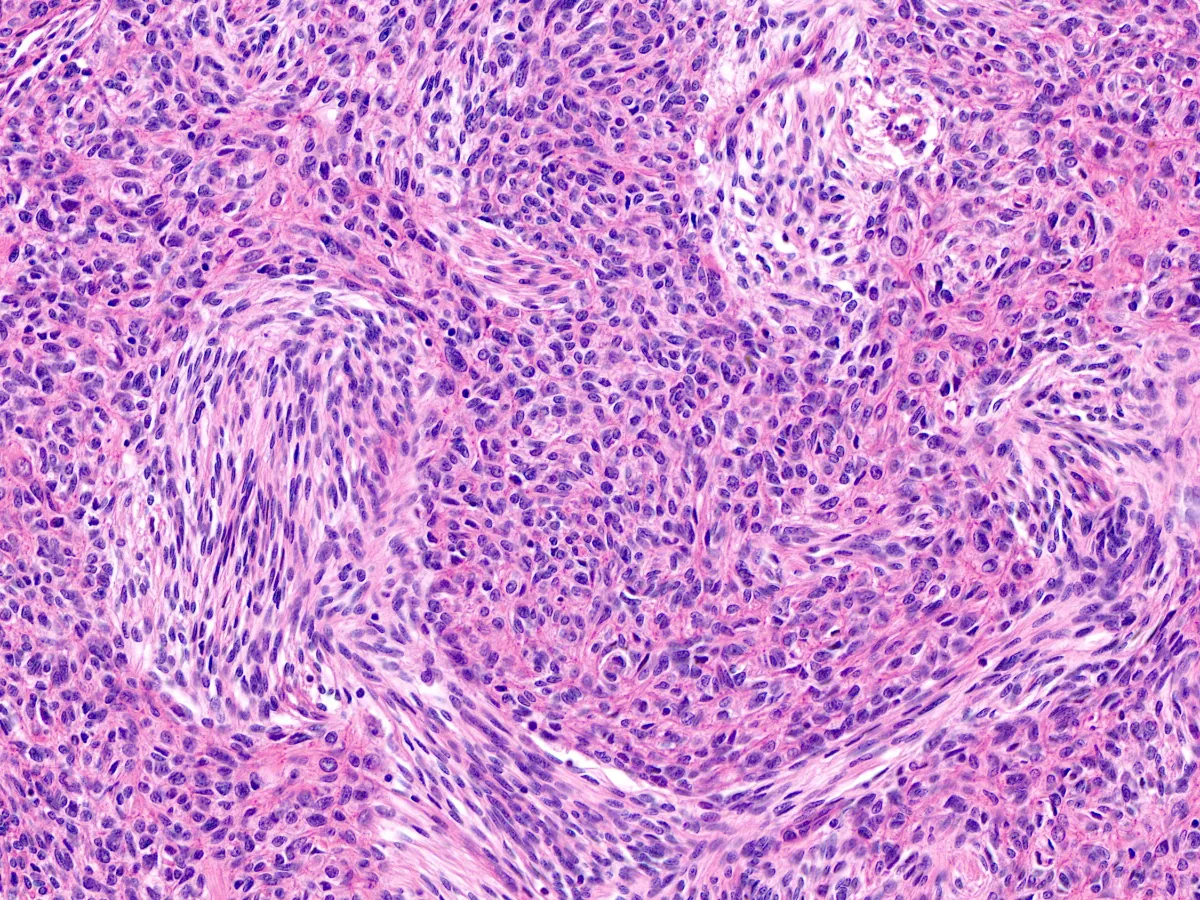
1. HE 1x

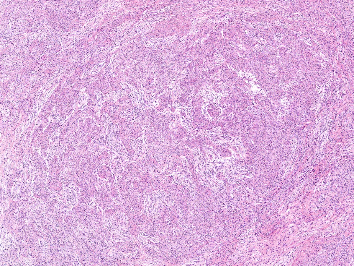
2. HE 10x

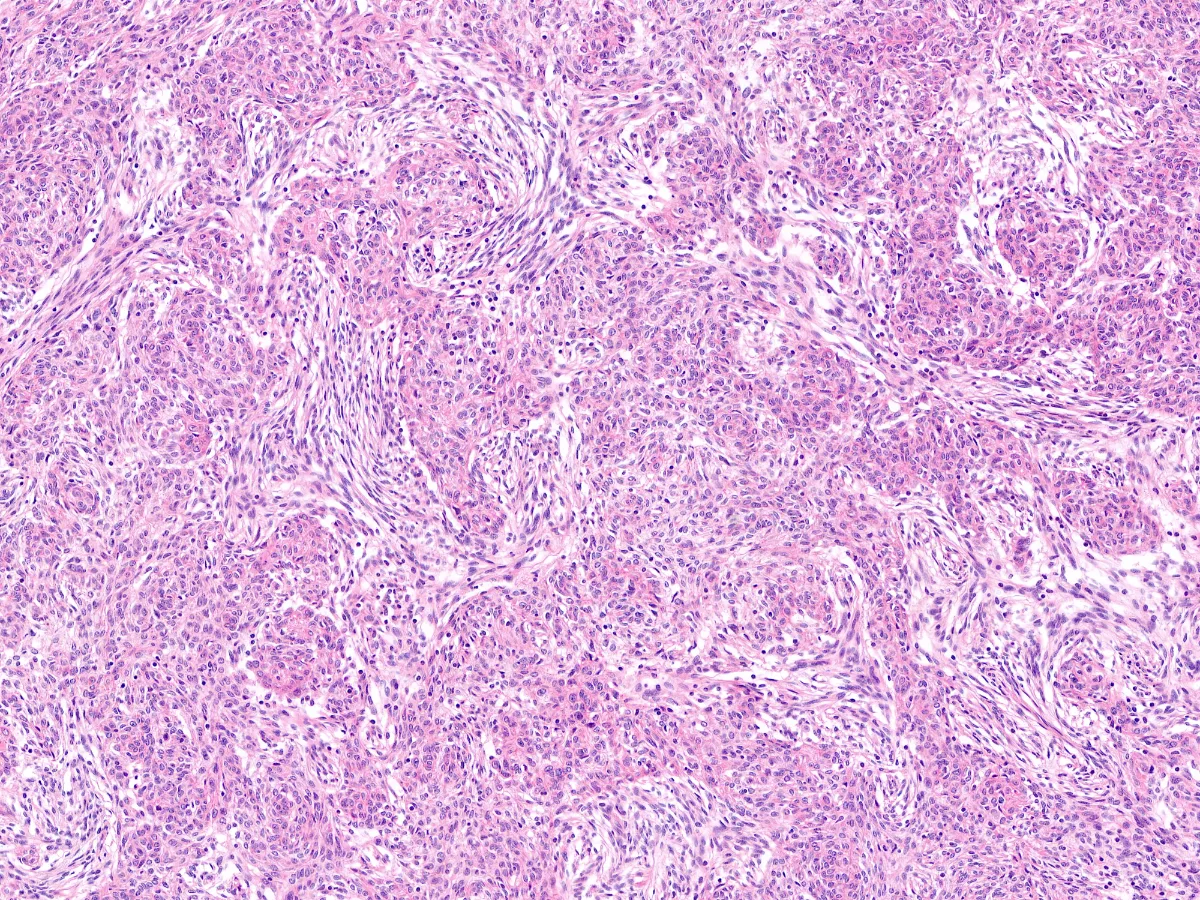
3. HE 20x

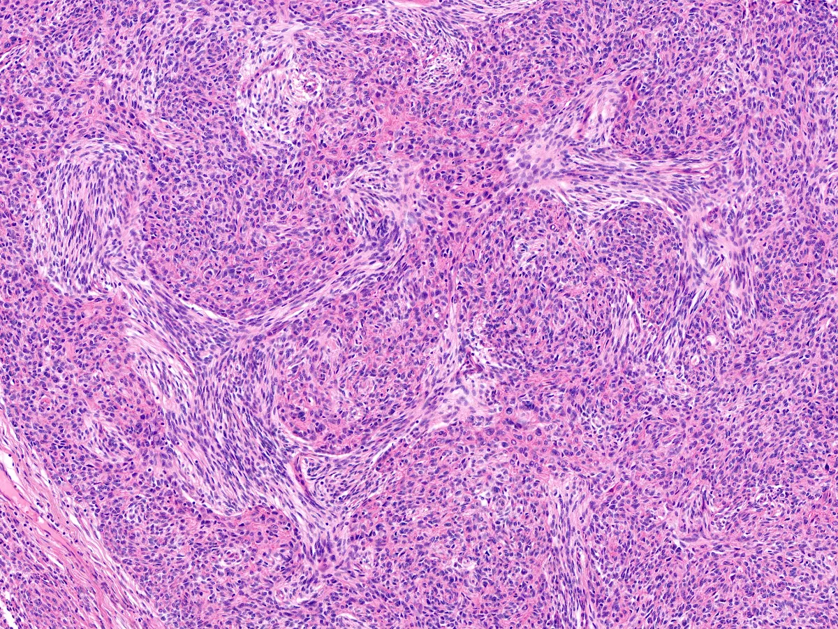
4. HE 20x

5. HE 40x

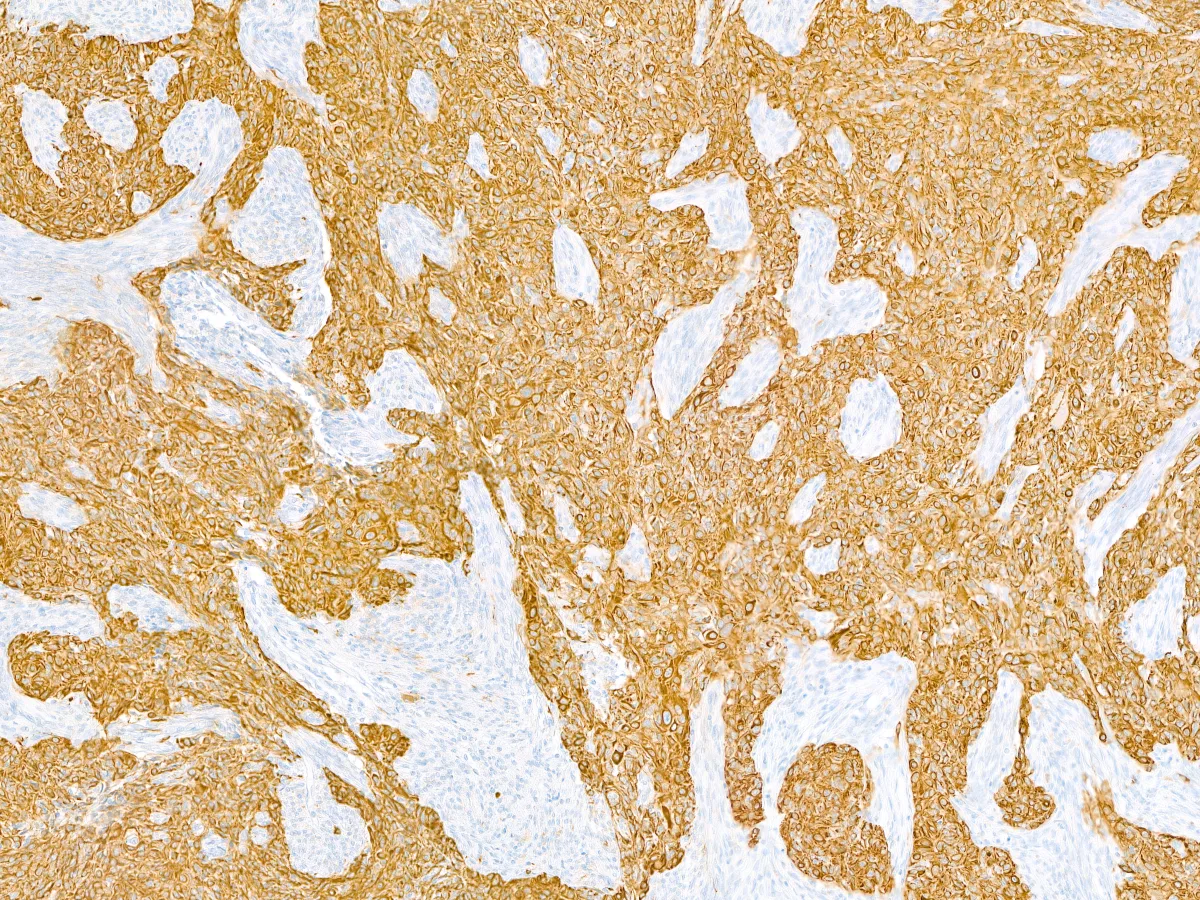
6. CK19 20x

7. Vimentina 20x

8. CD20 20x

9. TdT 20x

10. Ki67 20x
Diagnóstico: Timoma metaplásico
Aspectos esenciales:
- Se trata de un tumor bifásico de origen tímico compuesto por islas de células epiteliales y células fusiformes de bajo grado citológico, con áreas de transición de gradual a abrupta entre ambos componentes.
- Las características del TC son similares a los timomas de tipo A: una masa mediastínica anterior homogénea, bien definida. También se ha reportado un caso con captación elevada de FDG en el PET, con rasgos similares a neoplasias agresivas como el carcinoma tímico.
- PMID: 23109986; 22261452; 24212449
- Es una entidad extremadamente rara, con <40 casos descritos en la literatura de habla inglesa. Ocurre en pacientes adultos con una mediana de edad de 50 años (28-71 años), con ligera predilección en mujeres (ratio H:M de 1:1.5).
- PMID: 23109986; 24212449; 26823897; 31641231.
- El timoma metaplásico alberga característicamente la fusión YAP1::MAML2. La hibridación genómica comparativa, los estudios de microsatélites y los estudios de NGS dirigida han mostrado ninguna o muy pocas otras alteraciones genéticas.
- PMID: 31641231; 22261452.
- Se han descrito en dos ocasiones áreas compatibles con carcinoma sarcomatoide en asociación con timomas metaplásicos, sugiriendo una transformación de alto grado de esta neoplasia.
- PMID: 18269593; 20034984.
- Con técnicas de inmunohistoquímica las células epiteliales expresan CK, p63/p40 y EMA, así como negatividad para Vimentina. Las áreas fusocelulares, por el contrario, expresan Vimentina, positividad focal o negatividad para Citoqueratinas y EMA y negatividad para p63 y p40. Ambos componentes son negativos para CD5, CD20, CD34 y CD117 (c-kit). El índice de proliferación Ki67 es bajo en ambos componentes (<5%).
- PMID: 23109986; 11675689.
- Entre los diagnósticos diferenciales se incluye el carcinoma sarcomatoide, aunque este presenta de forma invariable un componente estromal de alto grado, con marcada atipia nuclear, mitosis atípicas y ocasionalmente diferenciación heteróloga.
- PMID: 11903597.
- Otras entidades a tener en cuenta son el sarcoma sinovial y el tumor epitelial fusiforme con diferenciación “timo-like” (SETTLE). El sarcoma sinovial también es una entidad que puede presentarse como un tumor bifásico a nivel mediastínico, aunque presenta el reordenamiento característico SS18::SSX. El SETTLE es una neoplasia muy poco frecuente, que típicamente que se presenta en el cuello y, pese a su potencial metastásico, tiene un carácter indolente.
- Las células epiteliales del timoma tipo A pueden tener diversos patrones de crecimiento, simulando un patrón bifásico, y no suele presentar células T inmaduras. Sin embargo, es un tumor monofásico donde las células epiteliales son positivas para CD20 y el componente fusocelular es negativo para Vimentina.
- La mayoría de timomas metaplásicos son localizados y no invasivos, aunque se han descrito ocasionalmente infiltración del tejido adiposo adyacente. No se han reportado metástasis.
- PMID: 22261452
- Entre los pacientes con seguimiento, la mayoría permaneció estable (mediana de 10 años) después de la escisión quirúrgica. Un paciente desarrolló recurrencia local a los 14 meses y falleció a los 6 años del diagnóstico.
- PMID: 11675689; 9351569; 10383710; 10483586; 22261452; 26823897; 31641231.

